영도치과, 기존 임플란트에 문제가 생겼다면? 재식립 치료

안녕하세요, 영도치과 서울화이트S치과 입니다.
부산쪽 영도치과를 알아보고 내원하시는 분들은 각기 다른 불편함과 고민을 안고 방문해 주십니다.
이 가운데에는 처음으로 임플란트 치료를 받으시는 분들도 계시지만, 이미 식립되어 있던 임플란트에 문제가 발생해 다시 치료가 필요한 경우도 적지 않습니다.

임플란트 식립이란?
임플란트는 오랜 시간 동안 상실된 치아를 대체하는 치료 방법으로 높은 신뢰도를 쌓아왔습니다.
하지만 어떤 치료든 예외는 없듯, 임플란트 역시 영구적인 유지가 항상 보장되지는 않으며 시간 경과에 따라 흔들림, 주위 염증, 파절 등 여러 원인으로 문제가 생길 수 있습니다.
이러한 상황에서는 기존 임플란트를 제거하고 다시 식립하는 재치료, 즉 임플란트 재식립을 신중히 고려하게 됩니다.
이번 글에서는 임플란트 재식립이 필요한 이유부터 원인에 대한 분석, 진단과 치료 계획 수립 과정, 그리고 단계별 수술 방법까지 실제 진료 사례를 바탕으로 보다 상세하게 안내해 드리겠습니다.

재식립이란 무엇인가?
임플란트 재식립이란 기존에 식립되어 있던 임플란트를 제거한 후, 동일한 위치 혹은 주변 부위에 새로운 임플란트를 다시 심는 치료 과정을 의미합니다.
재식립은 문제가 발생한 원인과 구강 상태에 따라 치료 시점이 달라지며, 일반적으로 다음과 같은 방식으로 구분됩니다.
1. 즉시 재식립
문제가 된 임플란트를 제거한 직후, 같은 수술 과정에서 바로 새로운 임플란트를 식립하는 방법입니다.
2. 지연 재식립
임플란트를 제거한 뒤 필요에 따라 골이식이나 조직 회복 기간을 거치고 일정 시간(대개 수개월)이 지난 후 다시 임플란트를 식립하는 방식입니다.
어떤 방법을 선택할지는 염증 여부, 뼈 손실 정도, 기계적 손상 유무와 같은 실패 원인뿐 아니라 골의 상태, 잇몸 조직의 건강, 그리고 환자분의 전반적인 건강 상태 등을 종합적으로 고려해 결정하게 됩니다.

임플란트 실패의 주요 원인
임플란트 재치료를 고민하게 되는 이유는
대부분 다음과 같은 문제들에서 시작됩니다.
1. 임플란트 주위 염증
임플란트 주변에 염증이 발생하면 점차 뼈가 흡수되면서 임플란트를 지지하는 힘이 약해질 수 있습니다. 이는 재식립으로 이어지는 대표적인 원인 중 하나입니다.
2. 골유착 형성 실패
임플란트 식립 후 초기 회복 단계에서 뼈와의 결합이 제대로 이루어지지 않는 경우로, 외부 충격, 조기 저작, 뼈의 밀도 부족 등이 영향을 미칠 수 있습니다.
3. 구조적 손상 문제
임플란트 자체의 파절이나 지대주와 본체 연결 부위의 손상, 고정 나사의 이탈 등도 재시술을 고려하게 만드는 요인입니다.
4. 교합 부담 과다
보철물이 교합에 맞지 않거나 이갈이와 같은 습관이 있는 경우, 지속적인 힘이 누적되어 뼈나 임플란트에 무리를 줄 수 있습니다.
5. 식립 환경의 문제
임플란트가 적절하지 않은 위치에 식립되었을 경우 주변 치아 간격, 신경, 상악동과의 관계로 기능적·구조적 문제가 발생할 수 있습니다.
6. 전신 건강 상태
혈당 조절이 어려운 당뇨, 흡연 습관, 과거 방사선 치료 이력 등은 치유 과정과 뼈 결합에 부정적인 영향을 줄 수 있습니다.

재식립 전 진단 및 계획
임플란트 재식립 치료는 충분하고 체계적인 사전 평가 과정에서부터 시작됩니다.
1. 구강 내 직접 검사
잇몸 조직의 상태를 면밀히 살펴 염증 반응이나 분비물이 있는지 확인하고, 탐침 검사 시 출혈 여부와 치주낭의 깊이를 측정합니다. 또한 현재 장착된 보철물의 높이, 파손 여부 등 기능적인 문제도 함께 점검합니다.
2. 영상 진단 및 3차원 분석
기본적인 구내 방사선과 파노라마 촬영을 통해 전반적인 구조를 확인하며, 필요 시 3차원 CT 검사를 시행합니다. 이를 통해 뼈 손실의 정도는 물론 상악동이나 신경관과의 위치 관계를 정확하게 파악할 수 있습니다.
3. 실패 원인에 대한 분석
단순히 결과만 보는 것이 아니라, 문제가 발생한 과정을 하나씩 되짚어 염증에 의한 문제인지, 초기 골유착 과정의 실패인지, 혹은 구조적 손상 때문인지를 구체적으로 구분합니다.
4. 전신 상태 평가 및 치료 상담
환자분의 전반적인 건강 상태를 고려해 당뇨 여부, 골 관련 약물 복용, 골 상태 등을 확인하고 흡연 습관 또한 중요한 평가 요소로 반영합니다. 아울러 치료에 소요되는 기간과 비용, 예상되는 결과에 대해 충분히 설명한 후 환자분의 이해와 동의를 바탕으로 치료 계획을 수립합니다.

재식립 시점의 결정 기준
1. 염증 범위가 넓은 경우
감염이 광범위하게 퍼져 있는 상황에서는 즉각적인 재식립보다는 문제가 된 임플란트를 제거한 뒤 충분한 세척과 소독을 먼저 시행합니다. 이후 필요에 따라 골이식을 진행하고, 일정 기간 회복 과정을 거친 뒤 재식립을 계획하는 것이 일반적입니다.
2. 염증이 제한적이고 조직 상태가 양호한 경우
감염이 국소 부위에 국한되어 있고 주변 잇몸과 뼈의 상태가 비교적 건강하다면, 발거 직후 새로운 임플란트를 심는 방법을 신중하게 검토할 수 있습니다. 다만, 재감염의 가능성이 존재하므로 철저한 판단이 필요합니다.
3. 뼈 조건이 충분한 초기 실패 사례
골량과 골질이 양호한 상태에서 초기 고정 단계에서 문제가 발생한 경우에는 즉시 또는 짧은 기간 내 재식립을 선택하기도 합니다.
전반적으로 치료의 안정성과 장기적인 유지 가능성을 중시한다면, 충분한 치유 기간을 거친 뒤 진행하는 지연 재식립 방식이 보다 예측 가능한 결과를 보이는 경우가 많습니다.
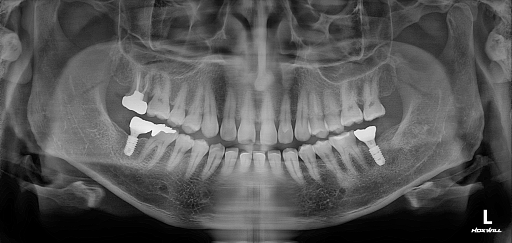
술전 사진

(24.11.18)
내원 당시 촬영한 사진을 보면 오른쪽 아래, 즉 #37 부위에 식립된 임플란트에 문제가 발생한 상태임을 확인할 수 있었습니다.
사진상 왼쪽 아래 임플란트 역시 이상적인 상태라고 보기는 어렵지만, 특히 오른쪽 하악 부위 임플란트는 뿌리 주변으로 염증이 상당히 진행된 모습이 뚜렷하게 관찰되었습니다.
방사선 사진을 살펴보면 임플란트 주위가 음영으로 보이며, 지지해야 할 뼈가 소실되면서 임플란트 상단이 이미 골 상방으로 많이 노출된 상태임을 알 수 있습니다. 게다가 환자분께서 저작 시 불편감까지 호소하고 계셨기 때문에, 기존 보철물의 형태 역시 함께 점검하고 조정할 필요가 있는 상황이었습니다.
술후 사진

(25.07.30)
재식립 후 확인해 보니 기존에 사용하시던 보철물에 비해 형태와 균형이 훨씬 개선된 모습을 보였고, 환자분께서 호소하시던 편감도 함께 해소되어 현재는 매우 만족해하시며 정기적인 내원 관리를 이어가고 계십니다.
이번 치료에서 중요하게 고려했던 부분은 다음 두 가지였습니다.
- 임플란트 주변에 남아 있던 염증을 충분히 제거한 뒤 보다 안정적인 위치로 골 하방에 재식립한 점
-
사용으로 인해 심하게 마모된 기존 보철물을 교합과 형태에 맞게 다시 설계한 점
이 두 요소가 모두 원활하게 진행되면서 기능적인 회복은 물론 심미적인 부분까지 함께 개선된 임플란트 결과를 얻을 수 있었습니다.
또한 최근 임상 흐름에 맞춰 과도하지 않은 적절한 길이의 임플란트를 선택함으로써 불필요한 뼈 손실을 최소화하며 보다 안정적인 치료가 가능했습니다.

임플란트 재식립은 단순히 기존 임플란트를 제거한 뒤 다시 심는 치료를 의미하지 않습니다. 문제가 발생한 원인을 정확히 파악하고, 그 원인을 해결해 나가는 과정이라 볼 수 있습니다.
충분한 계획 아래에서 안정적인 위치에 임플란트를 식립하고 이에 맞는 보철물을 새롭게 완성해야 하므로, 풍부한 임상 경험을 바탕으로 한 숙련된 치료가 무엇보다 중요합니다.
정확한 진단을 기반으로 한 치료 계획과 필요 시 시행되는 골이식과 철저한 소독, 기능과 교합을 고려한 보철물 설계는 물론, 환자분의 구강 위생 관리와 금연과 같은 생활 습관 개선이 함께 이루어질 때 보다 만족스러운 치료 결과를 기대할 수 있습니다.
임플란트 재치료를 고민하고 계시다면, CBCT를 포함한 정밀 검사와 함께 영도치과에서 충분한 상담을 받아보시길 권해드립니다.
*모든 증례 사진은 의료법 제23조, 제 56조에 의거하여, 당사자의 동의하에 게시하였습니다.
*치료 사진은 모두 본원에서 치료한 환자분의 사진입니다.
*치료 사진은 모두 동일인의 사진이며, 동일조건에서 촬영하였습니다.
*개인의 차이에 따라 시술 및 수술 후 부작용이 발생할 수 있으며, 의료진과 충분한 상담을 받으시기 바랍니다.
네이버지도 바로가기