영도치과, 발치 후 바로 식립하는 임플란트 치료

안녕하세요. 영도치과 임플란트 진료를 진행하고 있는 서울화이트S치과입니다.
치과를 방문하시는 환자분들의 이유는 매우 다양하지만, 특히 중장년층 환자분들께서 많이 상담하시는 치료 중 하나가 임플란트 치료입니다. 치아를 잃게 되면 단순히 음식 섭취가 불편해지는 것뿐만 아니라 발음, 저작 기능, 주변 치아의 배열에도 영향을 줄 수 있습니다. 이러한 문제를 기능적·심미적으로 회복하기 위해 선택되는 치료가 바로 임플란트입니다.
임플란트는 자연 치아와 유사한 구조로 제작되어 씹는 힘을 안정적으로 회복할 수 있으며, 인접 치아에 부담을 주지 않는 장점이 있습니다. 최근에는 치아를 발치한 후 일정 기간 잇몸뼈가 회복되기를 기다렸다가 임플란트를 식립하는 방식뿐 아니라, 발치와 동시에 임플란트를 식립하는 치료 방법도 많이 시행되고 있습니다.
이 방법은 일반적으로 ‘발치 후 즉시 식립’이라고 불리며, 환자의 잇몸 상태와 잇몸뼈의 조건이 적절할 경우 적용할 수 있습니다. 치료 기간을 줄일 수 있다는 점 때문에 임상 현장에서 관심이 높아지고 있는 방법이기도 합니다.
오늘은 영도치과 서울화이트S치과 임플란트 진료 과정 중에서도 실제로 많이 시행되는 발치 후 임플란트 즉시 식립 사례를 중심으로, 어떤 과정으로 치료가 진행되는지 어떤 과정으로 치료가 진행되는지 실제 케이스를 통해 자세히 설명드리겠습니다.

발치 후 바로 임플란트를 심을 수 있나요?
발치 후 즉시 임플란트 식립 시 고려되는 핵심 요소
✔ 초기 고정력 확보
임플란트가 안정적으로 유지되기 위해서는 식립 직후 뼈와 단단히 고정되는 상태가 필요합니다. 이를 초기 고정(primary stability) 이라고 합니다.
발치 직후에는 기존 치아가 있던 공간이 남아 있기 때문에 임플란트를 단순히 그 자리에만 식립하면 충분한 고정력이 확보되지 않을 수 있습니다.
따라서 보통은 잇몸뼈의 더 깊은 부분까지 임플란트를 안정적으로 고정하도록 식립 계획을 세우는 것이 중요합니다. 이러한 초기 고정이 확보되어야 이후 뼈와 임플란트가 안정적으로 결합되는 과정이 원활하게 진행될 수 있습니다.
✔ 뼈이식 병행 여부
치아를 발치한 뒤 임플란트를 식립하면 임플란트와 주변 치조골 사이에 빈 공간이 형성되는 경우가 있습니다. 공간이 클 경우에는 자연적인 뼈 형성이 충분하지 않을 수 있기 때문에 다음과 같은 방법을 함께 시행하기도 합니다.
-
인공뼈 이식재를 사용한 골이식
-
차폐막을 이용한 뼈 재생 유도
이처럼 임플란트 식립과 동시에 뼈이식을 함께 진행하는 방법을 동시 골이식술이라고 합니다. 이 과정을 통해 임플란트 주변의 뼈 형성을 돕고 장기적인 안정성을 높이는 데 도움을 줄 수 있습니다.
발치와 동시에 임플란트를 식립하는 방식은 환자의 구강 상태가 적절한 경우 여러 가지 장점을 기대할 수 있습니다. 임상적으로 주로 이야기되는 장점은 다음과 같습니다.
✔ 치료 기간 단축
발치 후 일정 기간을 기다리지 않고 바로 식립이 가능하기 때문에 전체 치료 기간을 줄이는 데 도움이 될 수 있습니다.
✔ 잇몸뼈 흡수 감소 가능성
치아를 발치하면 시간이 지나면서 잇몸뼈가 점차 줄어들 수 있는데, 즉시 식립을 통해 이러한 변화가 일부 완화되는 경우도 있습니다.
✔ 잇몸 형태 유지에 도움
발치 직후 임플란트를 식립하면 잇몸 조직의 형태가 비교적 안정적으로 유지되는 데 도움이 될 수 있습니다.
✔ 심미적인 결과에 유리
특히 웃을 때 보이는 부위에서는 잇몸과 치아의 자연스러운 균형이 중요한데, 즉시 식립이 심미적인 결과를 유지하는 데 도움이 되는 경우가 있습니다.
✔ 환자 만족도 향상
치료 단계가 줄어들고 치료 기간이 단축될 수 있기 때문에 환자 입장에서도 편의성이 높다는 장점이 있습니다.
특히 앞니 부위의 임플란트 치료에서는 잇몸 라인이 무너지지 않도록 유지하는 것이 매우 중요합니다. 이러한 이유로 조건이 맞는 경우에는 발치 후 즉시 식립이 심미적인 결과를 얻는 데 도움이 되는 치료 방법으로 고려되기도 합니다.
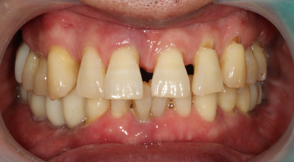
시술 전

25.06.10

25.06.10
해당 환자분께서는 여러 가지 구강 문제로 내원하셨습니다.
먼저 비교적 젊은 연령대임에도 불구하고 상악 치아 사이가 벌어지는 증상이 나타나면서 심미적인 부분에서 불편함을 느끼고 계셨습니다. 웃을 때 보이는 전치부의 변화가 신경 쓰여 상담을 원하셨습니다. 또한 하악 전치부에서는 치아의 동요가 관찰되었습니다. 보다 정밀한 상태를 확인하기 위해 방사선 검사를 진행한 결과, 기존에 임플란트가 식립되어 있던 부위 앞쪽 치아 주변에서 치조골이 상당 부분 소실된 모습이 확인되었습니다.
이에 따라 부위별로 다른 치료 계획을 세우게 되었습니다. 상악 전치부의 경우에는 환자분과 충분한 상담을 진행한 뒤, 심미적인 결과를 우선적으로 고려하여 보철 치료를 통해 전치부를 회복하는 방향으로 계획을 수립했습니다. 자연스러운 치아 형태와 배열을 고려하여 보철물을 제작하는 방식으로 진행하기로 하였습니다.
반면 하악 전치부는 기능적인 문제와 함께 심미적인 요소도 중요한 부위이기 때문에, 염증의 범위가 심하지 않은 경우에는 발치 후 즉시 임플란트 식립을 고려하는 치료 계획을 세웠습니다. 정확한 상태를 평가한 뒤 발치와 동시에 식립이 가능한지 여부를 판단하여 진행하기로 하였습니다.
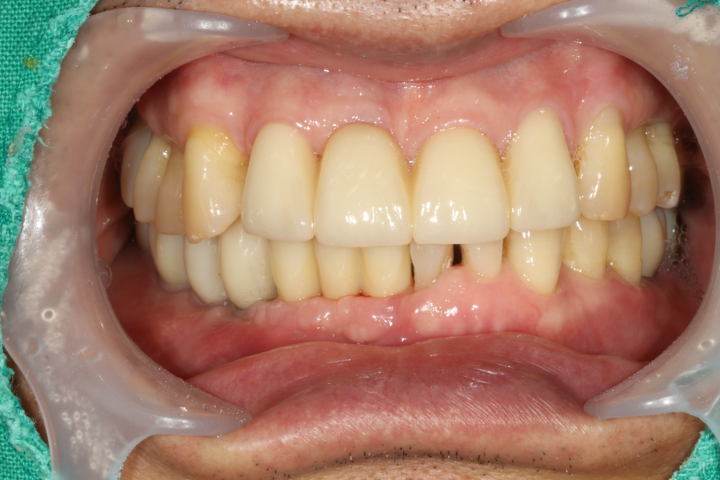
시술 후

26.10.07

26.01.07
치아 발치가 필요하다는 이야기를 들으면 많은 분들이 걱정을 하시지만, 최근에는 발치 후 임플란트 식립을 통해 치료 기간을 줄이고 자연스러운 결과를 얻을 수 있는 방법도 다양하게 시행되고 있습니다. 다만 모든 환자에게 즉시 식립이 가능한 것은 아니기 때문에 정밀 검사와 충분한 상담을 통해 개인에게 맞는 치료 계획을 세우는 과정이 중요합니다.
치아 건강에 대해 궁금한 점이 있다면 영도치과에 방문하셔서 임플란트 상담을 받아보시기 바랍니다.
영도치과 영도치과 영도치과 영도치과
네이버지도 바로가기
*모든 증례 사진은 의료법 제23조, 제 56조에 의거하여, 당사자의 동의하에 게시하였습니다.
*치료 사진은 모두 본원에서 치료한 환자분의 사진입니다.
*치료 사진은 모두 동일인의 사진이며, 동일조건에서 촬영하였습니다.
*개인의 차이에 따라 시술 및 수술 후 부작용이 발생할 수 있으며, 의료진과 충분한 상담을 받으시기 바랍니다.

