
1

1
광복동치과, 소홀했던 치주질환 임플란트로 기능회복!
서울화이트S치과
2026-01-27
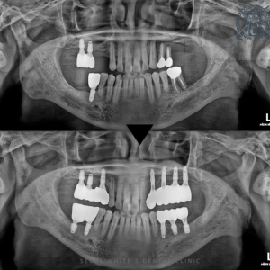
광복동치과, 소홀했던 치주질환 임플란트로 기능회복! 안녕하세요. 광복동치과 서울화이트S치과 입니다. 최근 몇 년동안 19세 이상 성인의 병원 외래 질환에서 치주질환이 1,2위를 차지할 만큼 치주질환으로 불편함을 호소하시는 분들이 많이 계십니다.…
영도치과, 임플란트로 어금니 기능과 양측 균형을 맞춰요!
서울화이트S치과
2026-01-27
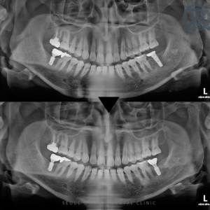
영도치과, 임플란트로 어금니 기능과 양측 균형을 맞춰요! 안녕하세요. 영도치과 서울화이트S치과 입니다. 치과내원이 늦으시는 이유 중에 “불편한 곳이 있지만 피해서 다른 쪽으로 식사해왔어요.”라고 말씀하시는 분이 많이 계십니다. 치아의 갯수가…
영도치과, 기존 임플란트에 문제가 생겼다면? 재식립 치료
서울화이트S치과
2026-01-21
영도치과, 기존 임플란트에 문제가 생겼다면? 재식립 치료 안녕하세요, 영도치과 서울화이트S치과 입니다. 부산쪽 영도치과를 알아보고 내원하시는 분들은 각기 다른 불편함과 고민을 안고 방문해 주십니다. 이 가운데에는 처음으로 임플란트 치료를…
남포동치과, 하악 전치부(아래 앞니) 부위의 브릿지 심미 임플란트 치료
서울화이트S치과
2026-01-17
남포동치과, 하악 전치부(아래 앞니) 부위의 브릿지 심미 임플란트 치료 안녕하세요, 남포동치과 서울화이트S치과입니다. 저희 남포동치과 서울화이트S치과는 충치 치료부터 임플란트 시술까지 다양한 진료 서비스를 제공합니다. 특히 심미적 개선을 위한…
영도치과, 치주질환과 오래된 보철로 무너진 치아 전악 임플란트로!
서울화이트S치과
2025-12-24
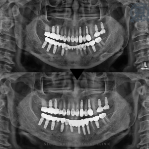
영도치과, 치주질환과 오래된 보철로 무너진 치아 전악 임플란트로! 안녕하세요! 영도치과 서울화이트S치과 입니다! 이전에 치과에서 보철치료를 많이 하셨거나 단 한개라도 보철물 장착으로 마무리 하신 분들께 영도치과 서울화이트S치과에서 드리는 말씀이…
영도치과, 전체적으로 나빠진 치아들 나에게 맞는 임플란트로 회복!
서울화이트S치과
2025-12-18
영도치과, 전체적으로 나빠진 치아들 나에게 맞는 임플란트로 회복! 안녕하세요! 영도치과 서울화이트S치과 입니다! 치과로 내원해주시는 환자분들 중에서 안타까운 마음이 드는 분들이 계신데요. 오랜기간동안 바쁜 일상으로 구강관리를 소홀히하여 아프고…





