영도치과 모든 구강기능을 회복하고 마무리한 나에게 맞는 임플란트와 덴탈케어!

안녕하세요. 영도치과 서울화이트S치과입니다.
최근에는 임플란트에 대한 거부감이 감소하고, 저작이 편리하며 구강안에서 이질감이 없기 때문에 많은 분들께서 임플란트 식립을 받으십니다.
게다가, 요즘은 의료기술이 발전하여 경우에 따라 전신질환이 있으시더라도 받을 수 있는 치료방법도 있어 많이 상담받으러 오시는데요. 제가 자주 말씀드리듯이, 성공적인 임플란트 식립을 위해서는 치료과정에서 주의사항을 잘 지켜주셔야 하고 모든 치료가 그러하듯, 임플란트도 사후 어떻게 관리해서 사용하느냐에 따라 오래 편안하게 사용하시는 것이 결정됩니다.
영도치과 서울 화이트S치과는 모든 진행 과정과 주의사항을 세심하게 말씀드리며 치료가 종결된 후에도 가정에서 관리하시는 방법과 정기적인 치과내원이 병행될 수 있도록 책임있는 안내를 도와드리고 있습니다. 그래서, 오늘은 영도치과 서울화이트 S치과에서 임플란트 치료 시 주의사항과 관리방법 몇 가지 말씀드리겠습니다.

먼저, 임플란트 치료과정을 간단하게 말씀드릴께요! 환자분의 전신과 구강상태가 확인이 되면 임플란트 인공치근(Fixture) 식립 > 중간 기둥(abutment) 연결 > 치아 형태 보철물 제작으로 크게 나눠서 볼 수 있습니다.
환자분의 상태에 따라 인공치근 식립 후 중간연결과 보철물 제작을 바로 할 수 도 있지만 치조골과의 충분한 유착을 위해서
식립 후 몇 개월 기간을 두고 진행하기도 합니다.

✔ 임플란트 식립 직 후 주의사항
* 지혈을 위해 거즈 1~2시간 꽉 물기
압박지혈을 위해 꽉 무셔야 하고 이후 피가 조금 비쳐도 괜찮습니다.
* 시술부위 10-15분 간격으로 아이스 찜질
안면 붓기와 혈관을 수축시키는데 도움이 됩니다.
* 침과 피는 뱉지말고 삼키셔야 시술부위가 잘 응고됩니다.
* 빨대 사용 금지
사용 시 음압이 생겨 시술 부위가 잘 아물 수 없습니다.
* 부드러운 식사
* 시술 직후는 처방받은 가글로 시술부위 관리하고 2-3일 후 부터 주변 부드럽게 잇솔질해주셔야 합니다.
* 음주와 흡연 금지
흡연은 골 형성과 유착을 방해하고 음주는 염증을 유발할 수 있으므로 최소 2주 이상 금주와 금연하셔야 합니다.
그밖에도 격한운동과 사우나 등은 안하시는 것이 좋으며 영도치과 서울화이트S치과에서 안내드리는 자세한 사항을 꼭 여러번 확인하고 지켜주셔야 초기 성공적인 임플란트 유착과 지지가 가능합니다.

✔ 임플란트 종결 후 주의사항
칫솔질은 식사 후 평소처럼 하고, 치간칫솔과 치실과 같은 구강관리용품으로 꼼꼼하게 관리해 주셔야 잇몸과 치조골이 내려가지 않습니다. 또한, 모든 식사는 편안하게 하셔도 되지만 아주 질긴 음식은 주의하셔야 하는데요.
임플란트는 구조상 자연치아에 비해 옆으로 흔들리는 ‘측방압’에 다소 약하기 때문에 주의를 부탁드립니다. 그 밖에 영도치과 서울화이트S치과에서 말씀드린 주의사항을 일상의 일부로 지켜주시고, 가장 중요한 정기적인 검진을 통해 임플란트와 주변치아의 상태를 확인하시고 작은 불편함은 바로 해결하실 수 있도록 안내드리고 있습니다.
바빠서
치료 중에 내원 날짜를 지키지 못했어요.
다른 치아가 깨진 것 같아요.
치료과정에서 내원일을 미루셔서 치아가 파절되고 흔들려서 임플란트 식립하고, 이전에 진행하던 임플란까지 성공적으로 마무리하신 분의 사례를 소개해드리겠습니다.

24.10.11
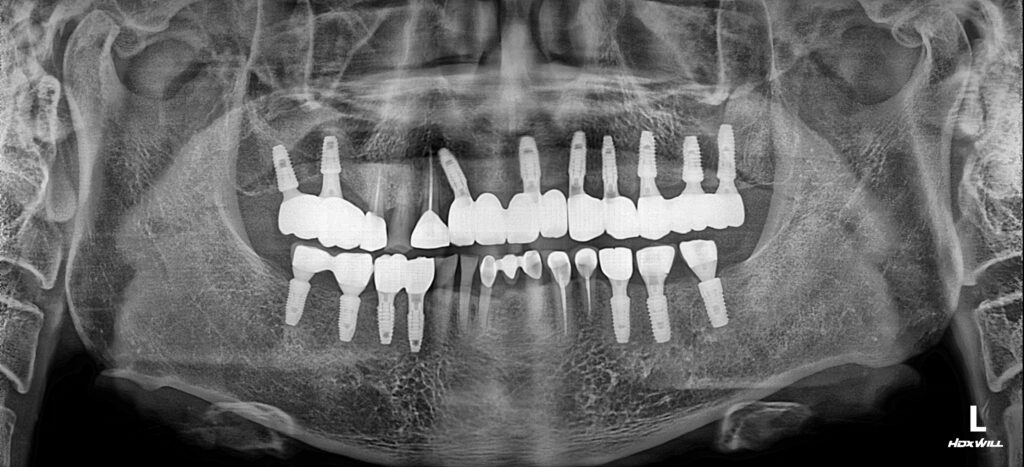
전체적인 치주질환, 우식치료, 임플란트를 진행하셨으나 바쁜 일정으로 내원을 못하셔서 늦게 오셔서 확인한 파노라마 방사선 사진입니다. 우측 아래 치아파절과 상악 앞니 임시보철물과 치아들까지 더 유지하기 어려운 상태로 내원하셨는데요.
영도치과 서울화이트S치과는 더 손상된 치아가 발생되지 않도록 치료 중인 임플란트는 치조골을 확인 후 보철물 제작해 드리고, 남은 치료도 신속하고 체계적으로 하실 수 있도록 환자분의 일정에 맞는 치료계획을 세워드렸습니다.

25.06.23
약 1년의 치료기간 후 모든 치료가 성공적으로 마무리된 모습입니다. 다수의 임플란트 식립을 진행하셨기 때문에 전체적인 교합을 맞추며 진행하는 것이 어려운 사례였으나 환자분과의 긴밀한 소통을 통해 잘 마무리할 수 있었습니다.
환자분께서 걱정이 많으셨는데 영도치과 서울화이트S치과의 섬세한 배려로 편안하게 치료받고 식사와 심미적으로도 만족하는 결과가 나온 것 같다고 고맙다고 해주셨습니다:)

영도치과 서울화이트S치과는 치료는 끝까지 마무리하는 것이 매우 중요한 만큼 환자분의 모든 일정과 사정을 고려한 맞춤 치료를 보건복지부 인증 통합치의학과 전문의 대표원장님께서 제공해드리고 있습니다.
나에게 맞는 치과치료를 처음부터 끝까지 마무리 하시고 싶으시다면 어려운 상황에서도 포기하지 않는 치과에서 도와드리겠습니다. 감사합니다.
네이버지도 바로가기
*모든 증례 사진은 의료법 제23조, 제 56조에 의거하여, 당사자의 동의하에 게시하였습니다.
*치료 사진은 모두 본원에서 치료한 환자분의 사진입니다.
*치료 사진은 모두 동일인의 사진이며, 동일조건에서 촬영하였습니다.
*개인의 차이에 따라 시술 및 수술 후 부작용이 발생할 수 있으며, 의료진과 충분한 상담을 받으시기 바랍니다.