영도임플란트, 오른쪽 아래 어금니 임플란트 재식립 사례

안녕하세요.
영도임플란트 서울화이트S치과입니다.
시간이 지나 임플란트 주위에 염증이 생기거나 뼈와의 결합이 약해질 경우, 임플란트가 흔들리거나 통증이 동반될 수 있습니다.
이때는 단순히 보철물을 교체하는 것으로는 해결이 어렵기 때문에, 임플란트 재식립을 고려해야 하는 부분입니다. 재식립은 기존 임플란트를 제거한 뒤 손상된 잇몸뼈를 회복시키고, 새로운 인공치근을 다시 식립하는 과정을 말합니다. 잇몸뼈 상태와 염증 정도에 따라 즉시 식립이 가능한 경우도 있고, 뼈 이식 후 일정한 치유 기간을 거쳐 다시 임플란트를 심기도 합니다.
임플란트 재식립이란?

임플란트 재식립은 기존에 심어둔 인공치근이 기능을 상실했을 때 이를 제거하고, 다시 새로운 임플란트를 식립하는 과정을 말합니다.
기존 임플란트 주위에 염증이 생기거나 뼈와의 결합이 약해져 흔들릴 경우, 그 상태로 방치하면 주변 조직 손상이나 잇몸뼈 흡수가 더 진행될 수 있습니다. 따라서 손상 부위를 정리하고 뼈 상태를 회복한 뒤, 새로운 임플란트를 심어 기능과 심미성을 되살리는 것이 재식립의 핵심입니다.
임플란트 재식립이 필요한 상황은?

다음과 같은 경우에재식립이 필요할 수 있습니다.
✔ 임플란트 주위염 발생 시
임플란트 주변 잇몸에 세균 감염이 생기면 뼈가 녹고 인공치근이 흔들릴 수 있습니다.
✔ 뼈와의 결합 실패
식립 초기, 임플란트가 잇몸뼈와 제대로 결합되지 않으면 안정적으로 고정되지 못합니다.
✔ 지속적인 통증 또는 출혈
치유 기간이 지났는데도 통증이나 잇몸 출혈이 계속된다면 재식립 검토가 필요합니다.
✔ 보철물 파손 및 부착 불량
보철물이 맞지 않거나 지대주가 손상된 경우에도 정밀한 진단 후 재식립을 진행하기도 합니다.
임플란트 재식립 시 주의사항

재식립은 처음 식립보다 더 신중한 접근이 필요합니다.
✔정밀한 원인 진단
처음 임플란트가 실패한 원인을 명확히 파악해야 재발을 막을 수 있습니다. 치조골 상태, 염증 정도, 교합력 등을 정밀 CT로 분석하는 과정이 필수입니다.
✔뼈 이식과 잇몸 회복
손상된 부위는 뼈 이식 또는 잇몸이식으로 건강한 조직을 복원한 뒤 임플란트를 심는 것이 안전합니다.
✔철저한 사후 관리
재식립 후에는 정기 검진과 스케일링, 임플란트 전용 칫솔·치간칫솔을 활용한 관리가 중요합니다.
생활 습관 중 흡연, 과음, 과도한 교합력(딱딱한 음식 등)은 임플란트 수명을 단축시킬 수 있으니 특히 주의해야 합니다.
임플란트 재식립은단순히 다시 심는 것이 아니라,처음보다 더 정밀한 진단과세심한 관리가 필요한 치료입니다.잇몸뼈와 주변 조직 상태를 면밀히 확인하고,맞춤형 계획으로 진행한다면 충분히 건강한 기능 회복이 가능합니다.
술전 사진

23.04.29
임플란트 재식립은단순히 다시 심는 것이 아니라,처음보다 더 정밀한 진단과세심한 관리가 필요한 치료입니다.잇몸뼈와 주변 조직 상태를 면밀히 확인하고,맞춤형 계획으로 진행한다면 충분히 건강한 기능 회복이 가능합니다. 내원하신 환자분은 우측 하악 임플란트 부위에 불편감을 느껴 검진을 위해 방문하셨습니다.
임상 사진을 확인한 결과, 해당 부위의 잇몸 아래쪽에 염증이 진행되어 있었고, 그로 인해 “골 흡수(뼈 손실)”가 이미 관찰되는 상태였습니다.
이러한 상황에서는 임플란트의 안정적인 기능 회복이 어려워 재식립이 필요한 단계로 판단되었습니다. 이전 의료기관에서 진행된 수술 과정이 크게 잘못된 것은 아니었지만, 보철물의 폭이 지나치게 좁게 설계되어 세균과 음식 잔사가 쉽게 쌓일 수 있는 구조적 한계가 있었던 것으로 보입니다. 이에 따라 임플란트를 보다 적절한 각도로 재식립하고, 보철물 주변에 위생 관리가 용이한 구조로 새롭게 설계하여 재시술을 진행하였습니다.
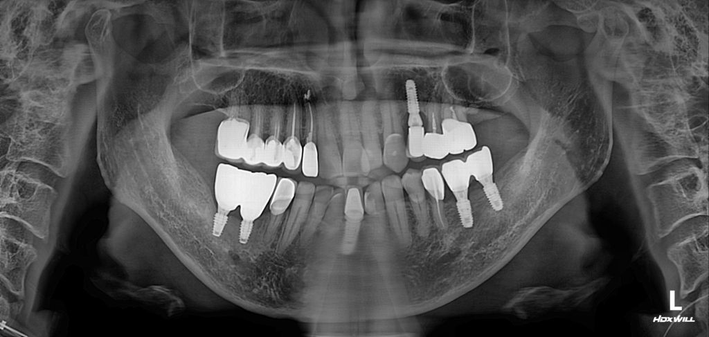
술후 사진

23.10.26
임상 사진을 살펴보면, 해당 부위의 뼈가 상당 부분 흡수된 상태였기 때문에 영도임플란트 재식립과 함께 골이식이 필요했습니다.
골이식 수술 후 일정 기간 동안치유 과정을 세심히 관찰하며 추후 보철물의 형태를 고려했는데요.아쉽게도 골이식 부위의 회복 속도가 기대보다 더디고, 일부 영역은 충분한 골 형성이 이뤄지지 않는 양상을 보였습니다.
이러한 상태를 종합적으로 판단하여 보철물의 크기와 형태를 조정하고, 저작하는 힘이 균등하게 분산될 수 있도록 하중 설계를 세밀하게 진행했습니다.
임플란트 재식립은 단순히 인공치근을 다시 심는 데서 끝나지 않습니다. 뼈와 잇몸의 상태, 교합력, 그리고 보철물의 설계 방향까지 모든 요소가 정밀하게 맞물려야 오랜 기간 안정적으로 유지될 수 있습니다.

영도임플란트 서울화이트s치과는 영도임플란트 재식립과 관련된 다양한 임상 경험을 바탕으로, 환자 개개인의 구강 구조와 치아 배열을 정밀하게 분석한 뒤, 치유와 기능을 모두 고려한 맞춤형 치료를 제공합니다. 궁금하신 점이 있다면 영도임플란트 서울화이트S치과에 문의해보시기 바랍니다.
*모든 증례 사진은 의료법 제23조, 제 56조에 의거하여, 당사자의 동의하에 게시하였습니다.
*치료 사진은 모두 본원에서 치료한 환자분의 사진입니다.
*치료 사진은 모두 동일인의 사진이며, 동일조건에서 촬영하였습니다.
*개인의 차이에 따라 시술 및 수술 후 부작용이 발생할 수 있으며, 의료진과 충분한 상담을 받으시기 바랍니다.
네이버지도 바로가기