광복동임플란트, 유도골재생술을 통해 뼈이식 임플란트 사례

안녕하세요, 광복동임플란트 서울화이트S치과입니다
저희 치과를 방문해 주시는 환자분들 중 임플란트에 대해 궁금해하시는 분들이 많습니다. 그 중에서도 상악과 하악 임플란트 식립의 차이점에 대해 자주 질문을 받습니다.
하악과 상악은 뼈의 밀도와 혈류에서 차이가 있습니다. 하악의 뼈는 상대적으로 더 치밀하고 혈류가 적어 치유 과정이 달라지며, 하악 구치부의 경우 하치조신경관, 설측 함몰 등 해부학적 요소로 인해 임플란트 식립과 골증대에 매우 세심한 주의가 필요합니다.
시간이 지나면 결손 부위의 치조골이 수평과 수직으로 흡수되기 때문에, 이를 보완하기 위한 GBR(유도골재생술)이 필수적입니다. 이를 통해 부족한 뼈를 채워 안정적인 임플란트 식립을 할 수 있습니다.
오늘은 저희 서울화이트S치과에서 직접 진행한 케이스를 통해 더 자세히 설명드리겠습니다.

유도골재생술(GBR)이 필요한 경우
-
수평적 골결손 (좁은 치조제): 임플란트 직경을 확보하기 어려운 경우
-
수직적 골결손: 신경관과의 거리, 임플란트 길이 확보가 어려운 경우
-
즉시 식립 시 결손 보완: 발치 후 주변 얇은 순측 및 설측 골벽 보강
-
신경 재배치가 어려운 경우: 골증대술로 대체 가능

하악 임플란트 식립의 해부학적, 생리적 고려사항
-
하치조신경관(IAN): CBCT로 거리를 정확히 측정하는 것이 필수입니다. 수직 증대 시 안전 거리를 확보해야 합니다.
-
설측 함몰 (lingual undercut): 드릴의 각도와 깊이를 정확히 관리해야 하며, 설측 피판의 관리가 중요합니다.
-
치밀한 골질(D1-D2): 초기 고정에는 유리하지만, 과열과 압박에 주의해야 합니다.
-
연조직 두께: 심미성 및 유지 관리를 위해 각화치은의 두께와 폭을 충분히 확보해야 합니다.

이식재 선택과 원칙
-
자가골: 골형성 능력이 뛰어나며, 초기 치유에 유리합니다.
-
동종골/이종골: 체적 유지와 공간 확보에 적합합니다. (이종골이 특히 효과적입니다.)
-
합성골: 안정적인 체적 유지가 가능하며, 혼합재로 자주 사용됩니다.
-
PRF/Sticky Bone: 점탄성 및 핸들링 개선, 혈소판 성장인자로 초기 치유를 돕습니다.

임플란트 수술 과정
-
정밀 진단: 임상 검사, 구강 위생 평가 및 교합 분석을 통해 CBCT로 결손 형태와 해부학적 요소를 파악합니다.
-
디자인 및 가이드: 디지털 플래닝으로 보철 위치부터 역설계를 진행하며, 필요 시 서지컬 가이드를 제작합니다.
-
피판 형성 및 골 준비: 전층 피판 형성과 골막 이완절개를 통해 장력을 제거하고, 디코르티케이션을 진행해 혈류 및 골수 유도를 촉진합니다.
-
이식재 충전 및 막 고정: 혼합골을 결손 부위에 충전하고, 비흡수성 막으로 밀폐합니다.
-
1차 봉합: 장력 없는 봉합으로 첫 봉합을 확실하게 해주며, 필요시 연조직을 보강합니다.
-
치유 및 유지관리: 정기적인 구강 위생 관리와 함께, 항염 및 의사 지시를 따르는 것이 중요합니다
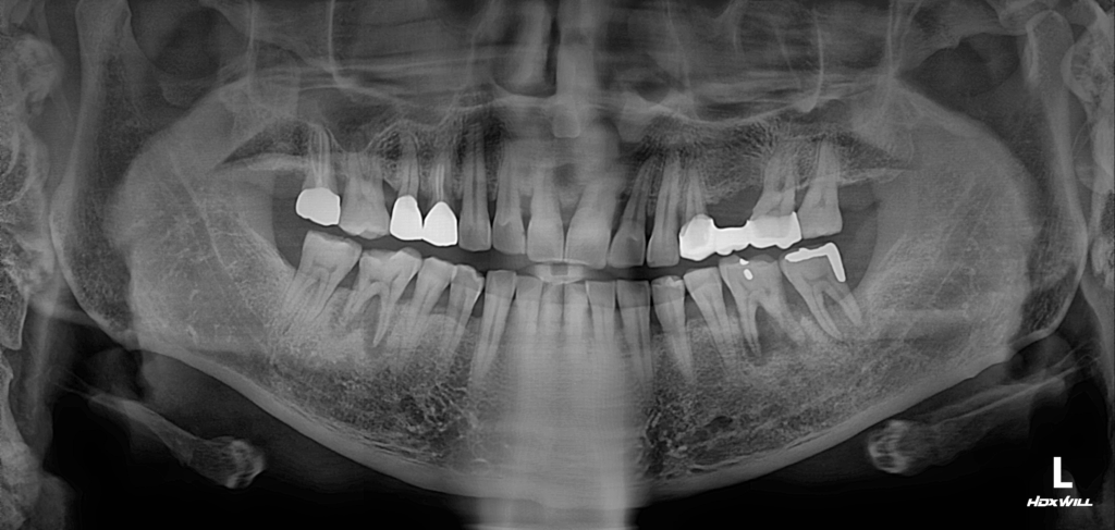
술전 사진

25.01
이 환자분은 양쪽 하악에 불편함을 호소하며 내원하셨습니다.
사진에서 보이는 우측(좌측 하악)의 경우, 6번과 7번 치아에 심각한 치주염이 있었고,사진의 좌측(우측 하악)에서는 6번 치아에만 치주염이 깊게 진행된 상황이었습니다.
치주염이 심각했기 때문에 지속적인 통증이 있었고, 이로 인해 골소실도 상당히 진행되었습니다.따라서 해당 부위에 GBR(유도골재생술)을 적용하여 골이식을 진행하고, 그 후 임플란트를 식립하는 치료 계획을 세웠습니다.

25.07
필요한 부위에만 임플란트를 정밀하게 식립한 결과를 확인할 수 있습니다. 하악 구치부는 앞서 언급한 바와 같이 해부학적 특성을 충분히 고려하여 접근해야 합니다.
이 케이스에서는 하악신경관과의 안전한 거리를 계산하여, 후유증이 발생하지 않도록 세심하게 진행했습니다. 지속적인 추적 관리로 신경 손상 여부를 면밀히 모니터링했으며,
결과적으로 환자분은 후유증 없이 정상적인 기능을 회복하며 만족스러운 결과를 얻으셨습니다.

저희 광복동임플란트 서울화이트S치과는 환자 한 분, 한 분의 상태를 면밀히 분석하고, 치료 방법을 제시합니다. 하악 임플란트와 같은 복잡한 치료도 정밀한 계획과 세심한 관리로 안전하고 효과적으로 진행하고 있습니다. 치료 후에도 지속적인 관리와 상담을 통해 좋은 결과를 드릴 수 있도록 노력하겠습니다. 여러분의 소중한 치아 건강, 광복동임플란트 서울화이트S치과가 함께 지켜드리겠습니다.
*모든 증례 사진은 의료법 제23조, 제 56조에 의거하여, 당사자의 동의하에 게시하였습니다.
*치료 사진은 모두 본원에서 치료한 환자분의 사진입니다.
*치료 사진은 모두 동일인의 사진이며, 동일조건에서 촬영하였습니다.
*개인의 차이에 따라 시술 및 수술 후 부작용이 발생할 수 있으며, 의료진과 충분한 상담을 받으시기 바랍니다.