영선동잇몸치료, 잇몸이 자주 붓는다면 치주치료로!

안녕하세요. 영선동잇몸치료 서울화이트S치과입니다.
“양치할 때마다 피가 나고, 잇몸이 계속 붓고 간지러워요.”
이런 증상을 반복해서 겪고 계신가요?

잇몸질환은 겉으로 보기에는 단순한 문제처럼 느껴질 수 있지만, 사실은 치아를 잃는 주된 원인이 되기도 합니다. 기초부터 무너지는 이 상황, 어떻게 치료할 수 있을까요?
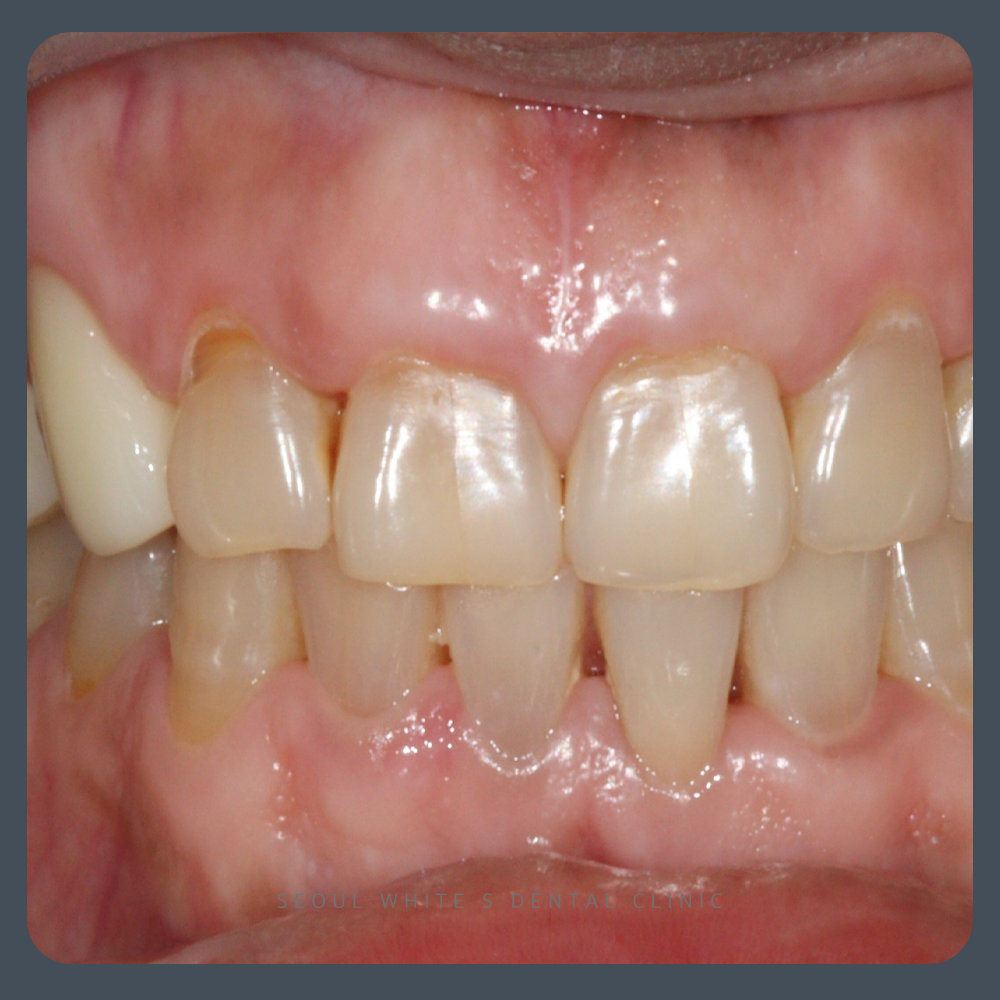
환자분은 몇 년 전부터 양치 중 출혈과 잇몸 붓기를 반복하다가, 최근에는 통증과 간지러움이 생겨서 내원하셨습니다.

환자분께서는 특히 하악 전치부(아랫니 앞부분) 쪽은 부풀고 간지러운 느낌이 지속되어 생활에 큰 불편 느끼고 계셨습니다 염증으로 인한 잇몸 조직의 손상을 줄이고, 세균과 노폐물이 다시 쌓이지 않도록 관리하는 데 중점을 둔 치료입니다. 하지만 이미 치아 주위의 뼈가 파괴된 경우, 이를 치료만으로 온전히 되살리는 것은 어렵습니다. 그렇기 때문에 조기에 발견하고 대응하는 것이 가장 중요합니다. 그렇다면 염증이 있는 상태를 그대로 두면 어떻게 될까요?
경험상, 잇몸 질환에서 발생하는 염증은 저절로 사라지지 않으며, 시간이 갈수록 진행성이 강해져 상태가 더 나빠지는 경우가 많습니다. 한 번 깊어진 염증은 일반적인 양치나 구강세정기, 치실 등의 생활 속 관리만으로는 해결이 어렵습니다.
이럴 때는 치과 진료가 반드시 필요하며, 적절한 시기에 치료를 받아야 더 큰 잇몸 손상이나 치아 상실을 막을 수 있습니다.

염증을 많이 가라앉히고 남은 뼈를 최대한 보존하여, 치아를 유지하였습니다! 염증으로 인한 잇몸 조직의 손상을 줄이고, 세균과 노폐물이 다시 쌓이지 않도록 관리하는 데 중점을 둔 치료입니다. 하지만 이미 치아 주위의 뼈가 파괴된 경우, 이를 치료만으로 온전히 되살리는 것은 어렵습니다. 그렇기 때문에 조기에 발견하고 대응하는 것이 가장 중요합니다. 그렇다면 염증이 있는 상태를 그대로 두면 어떻게 될까요? 경험상, 잇몸 질환에서 발생하는 염증은 저절로 사라지지 않으며, 시간이 갈수록 진행성이 강해져 상태가 더 나빠지는 경우가 많습니다.
잇몸이 안정된 이후에는 정기적인 유지 치료와 함께 치아 사이사이에 남아 있는 플라그 관리, 그리고 보조 구강위생용품 사용법도 함께 안내드렸습니다.

영선동잇몸치료는 단순히 잇몸을 청소하는 과정이 아닙니다. 환자분의 잇몸 구조, 염증 정도, 치조골 손실 범위에 따라 치료 범위와 계획이 달라지며, 정밀한 진단이 매우 중요한 치료입니다.
서울화이트S치과는 치주 치료에도 디지털 기술을 접목하여 더 안전하고 체계적인 진료를 제공합니다.
서울화이트S치과에서는? 통합치의학과 전문의의 진료 구강스캐너 및 3D CT 기반의 정밀 진단, 디지털 치료 계획 및 사후 관리 시스템, 환자 맞춤형 설명 중심 진료를 하고 있습니다.
잇몸 문제를 오래 방치하면 치아 상실로 이어질 수 있습니다. 증상이 가벼울 때부터 영선동잇몸치료를 통해 자연치아와 잇몸 건강을 지켜보세요.
* 모든 증례 사진은 의료법 제23조, 제56조에 의거하여, 당사자의 동의하에 게시하였습니다.
*치료 사진은 모두 본원에서 치료한 환자분의 사진입니다.
* 치료 사진은 모두 본원에서 치료한 동일 환자의 사진입니다.
* 개인에 따라 시술 결과와 회복 속도는 다를 수 있으며, 의료진과 충분히 상담 후 결정하시기 바랍니다.
네이버지도 바로가기