영도치과, 치료받은 곳이 다시 아파요! 재근관치료 사례

안녕하세요
영도치과 서울화이트S치과입니다. 치료를 받았던 치아가 시간이 지나 다시 아프기 시작하면, 당혹스러움과 함께 걱정도 커지기 마련입니다. 이미 신경치료를 한 치아에서 통증이 재발했다면, ‘왜 또 아픈 걸까?’, ‘치료가 잘못된 건 아닐까?’라는 생각이 들 수 있습니다. 이런 경우 흔히 ‘재근관치료’, 즉 신경치료를 다시 해야 하는 상황일 수 있습니다. 오늘은 실제로 자주 발생하는 재근관치료에 대해 자세히 알아보겠습니다.
신경치료란 어떤 치료일까요?

신경치료는 치아 내부의 신경(치수)에 염증이 생기거나 괴사했을 때 시행하는 치료입니다. 이 과정에서는 치아 내부의 감염된 신경조직을 제거하고, 근관(신경이 지나가는 통로)을 깨끗이 소독한 후, 생체에 무해한 재료로 채워 넣습니다. 흔히 ‘신경을 뺐다’고 표현되는 이 치료는 치아를 발치하지 않고 살릴 수 있는 중요한 보존 치료 중 하나입니다. 치료 후에는 해당 치아에 크라운을 씌워 파절을 방지하기도 합니다.
왜 다시 아플 수 있을까요?

신경치료는 세밀한 기술과 숙련도가 요구되는 치료입니다. 하지만 아무리 잘 치료하더라도 시간이 지나 감염이 재발할 가능성은 존재합니다. 대표적인 원인으로는 다음과 같은 경우가 있습니다.
-근관이 복잡하거나 구부러져 있어 감염된 부위를 완전히 제거하지 못한 경우
-치료 후 시간이 지나면서 충전재가 미세하게 누출되어 세균이 침투한 경우
-크라운이나 보철물의 문제로 치아 내부에 2차 감염이 생긴 경우
이런 경우 재근관치료를 통해 문제 부위를 다시 소독하고 재충전해야 합니다. 특히 영도치과 등에서 환자들이 종종 문의하는 내용 중 하나가 ‘전에 치료했던 치아가 왜 다시 아픈가요?’라는 질문인데, 이런 재발 원인을 알고 계시면 당황하지 않고 적절한 조치를 취할 수 있습니다.
신경치료, 잘 됐는지 어떻게 알 수 있을까요?

신경치료가 성공적으로 완료되었는지는 임상 증상과 엑스레이 소견을 통해 판단합니다. 통증이나 불편감이 사라지고, 일정 기간 동안 문제가 재발하지 않으면 성공적으로 간주할 수 있습니다. 반면, 치료 이후에도 통증이 지속되거나 씹을 때 불편한 느낌이 남는다면, 추가 진단이 필요합니다. 특히 엑스레이 상에서 치근단 부위에 병소가 남아 있거나 새로 생긴 것이 보인다면 재근관치료가 필요할 수 있습니다.
이처럼 신경치료는 단순한 과정처럼 보여도 실제로는 정밀한 기술과 진단이 필요한 고난이도 치료입니다. 따라서 통증이 반복된다면 방치하지 말고 반드시 치과에 내원해 정확한 상태를 확인받는 것이 중요합니다. 영도치과에서 실제 사례로 접하는 환자들 역시, 재근관치료 후 상태가 호전되는 경우가 많습니다.
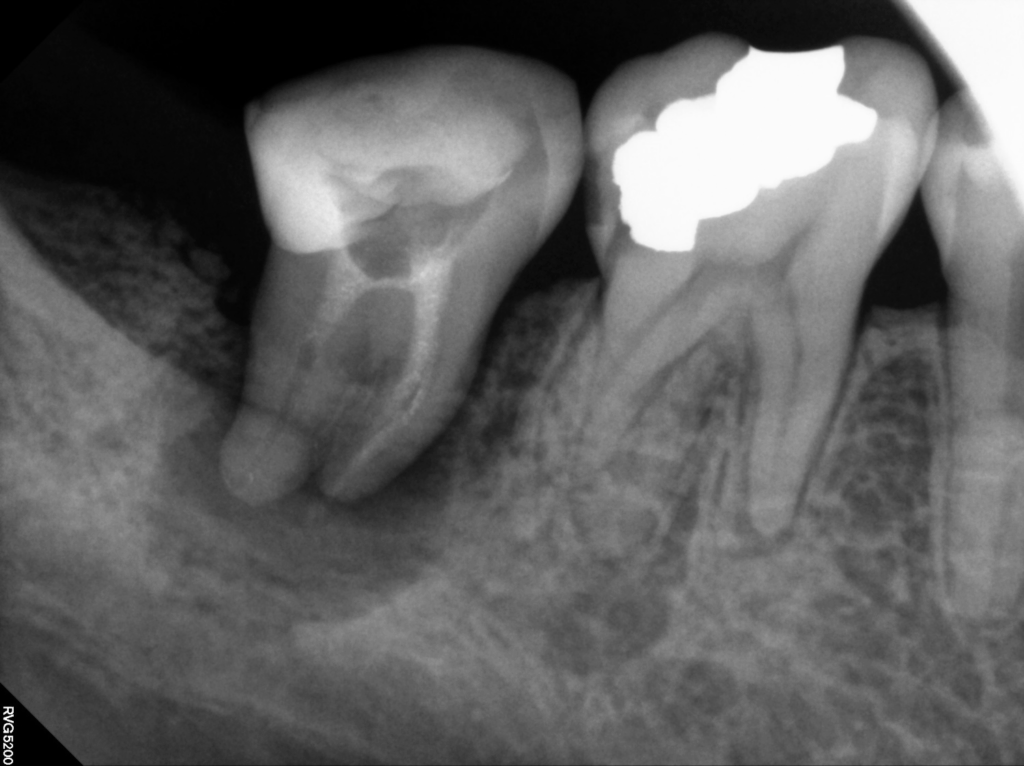
신경치료 케이스1

24.10.17
오랜 시간 전에 다른 치과에서 신경치료를 받으셨던 분으로, 최근 들어 해당 치아가 흔들리고 불편감이 심해져 방문해주신 사례입니다.
내원 당시 육안으로도 잇몸이 붓고 주변 조직이 예민한 모습이 보였으며, 정밀 촬영을 진행해보니 위 사진처럼 치근 주변에 어두운 음영의 병변이 분명하게 나타나고 있었습니다.
촬영 결과와 함께 치아 내부의 근관 상태도 면밀히 살펴본 결과, 초기 치료 과정에서 밀봉이 제대로 이루어지지 않아 세균이 다시 침투한 흔적을 확인할 수 있었고, 이에 따라 재근관치료가 필요하다고 판단하게 되었습니다.

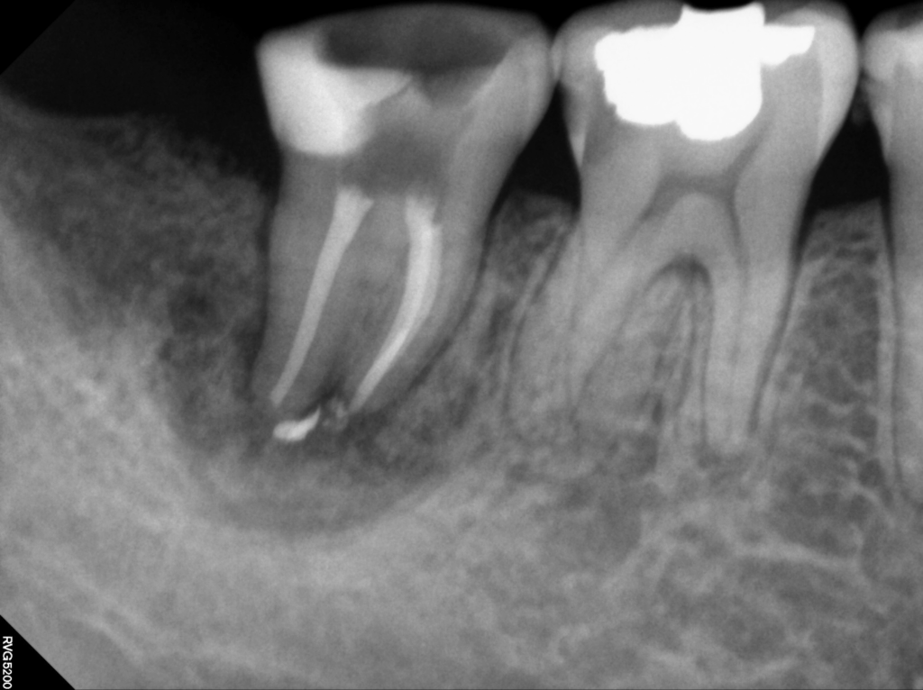
24.10.17
치료 후 촬영한 사진에서는 이전과 비교해 변화된 양상을 확인할 수 있습니다.
치근 주변에 보이던 방사선 투과성 부위는 이미 뼈가 흡수된 상태라 회복 속도가 빠르지는 않지만, 그럼에도 불구하고 염증이 상당 부분 가라앉아 회복 방향이 긍정적으로 진행되고 있음을 확인했습니다.
영도치과 서울화이트S치과에서는 이번 재치료 과정에서 근관 내부의 밀봉과 차단을 꼼꼼하게 다시 시행하였고, 그 결과 치아의 흔들림과 불편감이 이전보다 줄어들어 환자분께서도 안정적인 변화를 체감하며 지속적으로 경과 관찰을 이어가고 있습니다.
신경치료 케이스2

24.10.17
이 환자분은 내원 당시 임상적으로는 분명한 불편 증상이 있었지만, 방사선 사진을 확인한 결과 다행히도 뚜렷하게 크게 퍼진 병변은 아직 나타나지 않은 상태였습니다.
증상 경과와 과거 신경치료 이력을 먼저 확인한 뒤 정밀 촬영을 진행했고, 조사된 내용을 토대로 재근관치료가 필요한 이유를 환자분께 차근차근 안내드렸습니다. 충분한 설명 후 치료 방향에 대한 동의를 얻어 재치료 절차를 시작하게 되었습니다.

24.10.17
치료를 이어가던 중 추가로 다른 각도에서 촬영한 정밀 사진에서 문제가 되는 병변이 확인되었습니다.
해당 영상에서 근심 측 근관 부위에 이상이 있다는 점을 파악할 수 있었고, 그 부분에 대한 재치료가 필요하다는 결론에 이르게 됐습니다

24.10.17
치료 후 촬영한 영상에서는 근관 내부가 안정적으로 봉쇄된 모습을 확인할 수 있었습니다.
앞서 설명드린 것처럼 주변 치조골이 회복되기까지는 일정한 시간이 필요하기 때문에, 현재는 정기적으로 상태를 점검하며 불편감이 다시 생기지 않는지 등 임상적인 변화를 지속적으로 살피고 있습니다.

이미 신경치료를 받은 치아라도 언제든지 재감염이 생길 수 있습니다. 하지만 다행히도 재근관치료를 통해 치아를 다시 살릴 수 있는 가능성도 존재합니다. 영도치과 서울화이트S치과에서는 정밀한 진단과 함께 보존 가능한 치아인지 여부를 판단하여 적절한 치료를 안내드리고 있습니다. 무작정 발치를 고려하기보다, 재치료로 치아를 보존할 수 있는지 확인해보시길 권해드립니다.
*모든 증례 사진은 의료법 제23조, 제 56조에 의거하여, 당사자의 동의하에 게시하였습니다.
*치료 사진은 모두 본원에서 치료한 환자분의 사진입니다.
*치료 사진은 모두 동일인의 사진이며, 동일조건에서 촬영하였습니다.
*개인의 차이에 따라 시술 및 수술 후 부작용이 발생할 수 있으며, 의료진과 충분한 상담을 받으시기 바랍니다.
네이버지도 바로가기