영도구치과추천 인접면 치아우식과 깨진 앞니 치료 케이스

치아에 눈에 띄는 검은색의 치아우식이나 파절(깨짐), 치아 상실 등이 있다면, 누구와 대화를 하거나 외출을 해야 할 때 신경이 쓰일 뿐만 니라 자신감까지 상실하게 될 것입니다.치아 사이에 치아우식이 진행되는 경우는 상당히 진행된 후 통증 및 치아 변색으로 인해 오시는 경우가 종종 있습니다. 장 많이 발생하는 부위는 음식을 저작하는면입니다. 이 부위를 ‘교합면’이라고 하는데요.

치아 중에서 송곳니, 작은 어금니, 큰 어금니에 있습니다. 교합면은 음식물을 부스고, 작게 깨서 삼킴과 소화하기 좋은 형태로 만들어 주는 역할을 합니다. 교합면에 치아우식이 잘 발생하는 원인 중 하나는 어금니들의 형태가 저작하기 유리한 굴곡진 면이기 때문에 음식물이 오래 남게 되고, 식사 후 바로 제거되지 않으면 우식이 진행될 수 있습니다. 두 번째는 치아와 치아 사이 ‘인접면’입니다. 치아가 맞닿아 있어 초기에는 육안으로 잘 확인하기 힘든데요.
.

발견이 된 후에는 교합면에 비해 우식 제거의 접근이 까다롭기 때문에, 더욱 세심한 치료가 요구됩니다. 따라서, 인접면 우식을 예방하기 위해서는 평소 식사 후 치실 및 치간칫솔을 사용하여 관리해야 하며 눈에 잘 띄지 않는 부위이므로 주기적인 검진을 통해 확인하시는 것이 필수라고 할 수 있습니다.
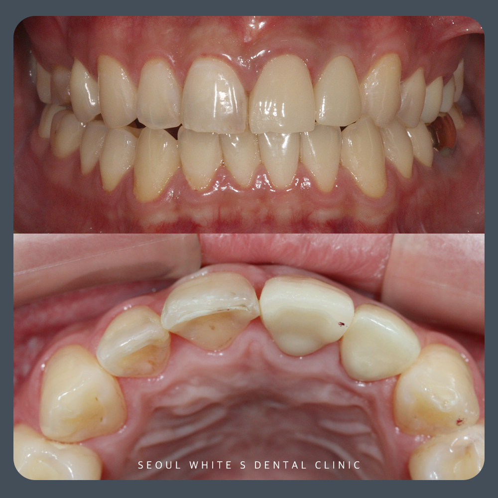
앞니 사이가 검게 변하고,
깨진 치아가 있어요!
영도구치과추천 서울화이트S치과는 위 앞니 사이 인접면 우식과 깨진 치아로 일상생활에 불편함을 느끼고 계신 분의 심미치료 사례를 소개해 드리겠습니다.

영도구치과추천 서울 화이트S치과에 처음 내원하셨을 때 모습입니다. 오른쪽 큰 앞니와 작은 앞니(사진에서 왼쪽) 인접면 치아우식으로 검게 변색되어 있었으며, 왼쪽 작은 앞니는 깨져있으셨습니다.
치아우식 부위의 정도를 확인한 후 레진을 진행하고 크랙이 생긴 부위는 보철치료를 진행하기로 계획을 수립하였습니다.

치료에 앞서, 환자분께서 오랜 시간 치과에 내원하지 못하셔서 스케일링을 받지 못하신 상태로 치석과 검은 착색이 있었습니다. 영도구치과추천 서울화이트S에서는 동시에 치면, 치주관리 술식으로 편안하고 깨끗하게 스케일링을 해드렸어요.
<인접면 레진>

내원 당일, 스케일링을 진행하시고 치아우식의 정도를 면밀하게 확인을 한 후 인접면에는 레진을 사용하여 치료를 진행했습니다. 인접면은 우식 제거와 충전 모두 매우 섬세하고, 꼼꼼한 치료가 필요한데요. 앞니의 경우 자연치아 색과 거의 동일한 색상과 강도 및 간격 등을 판단하여 진행해야 합니다. 환자분께서 바로 자연스럽게 치료를 진행하여, 마음이 급하셨는데 너무 만족한다고 말씀 주셨습니다.^^
영도구치과추천 서울화이트S는 환자분의 구강 상태는 물론 니즈까지 꼼꼼히 파악하여 맞춤적인 치료를 시행하고 있습니다.

깨진 치아는 범위가 넓어서 치아를 씌우는 크라운(Crown) 보철치료를 진행하였는데요. 일주일 전에 진행한 레진과 주변 자연치아들과의 색상, 형태가 자연스럽게 잘 마무리되었습니다^^전체적인 배열과 치아가 닿을 때의 교합까지 꼼꼼하게 체크한 후 치료를 마무리해드렸습니다.

비교해서 보면, 더 자연스럽게 심미치료된 것을 확인할 수 있는데요. 환자분께서 일상생활을 하시는데 보다 자신감을 회복하실 수 있으리라 생각됩니다. 치과에서 마무리된 치료는 이후 주기적인 관리와 주의사항을 잘 지켜주셔야 온전히 유지하실 수 있다고 할 수 있습니다.

영도구치과추천 서울화이트S는 환자분의 마음을 가장 먼저 헤아리며, 구강 상태에 맞는 치료만을 과잉없이 정직하게 시행합니다. 보건복지부인증 통합치의학과 전문의 대표원장이 모든 전체 과정을 1:1로 전단하여 케어합니다. 치아로 인해 일상생활에 자신감을 상실하셨다면, 건강한 아름다움을 지향하는 영도구치과추천 서울화이트S로 언제든 편안하게 내원해 주시길 바랍니다.
* 모든 증례 사진은 의료법 제23조, 제56조에 의거하여, 당사자의 동의하에 게시하였습니다.
*치료 사진은 모두 본원에서 치료한 환자분의 사진입니다.
* 치료 사진은 모두 본원에서 치료한 동일 환자의 사진입니다.
* 개인에 따라 시술 결과와 회복 속도는 다를 수 있으며, 의료진과 충분히 상담 후 결정하시기 바랍니다.
네이버지도 바로가기