부산영도치과, 티 안 나는 자연스러운 앞니 크라운으로 환한 미소를

안녕하세요, 부산영도치과 서울화이트S치과입니다.
오늘은 저희 서울화이트S치과에서 진행한 전치부 심미 보철 치료 사례에 대해 소개드리겠습니다. 전치부 심미치료는 미소의 아름다움에 큰 영향을 미치기 때문에 환자분들의 관심이 매우 많은 분야입니다. 여러 가지 치료 방법이 있지만, 오늘은 전치부 크라운 치료에 대해 말씀드리고자 합니다.

전치부 심미 보철의 중요성
전치부 치료는 단순한 레진으로 수복하는 것부터 시작해서, 라미네이트, 크라운 등 다양한 방법으로 진행할 수 있습니다. 그러나 전치부의 기능과 미관을 동시에 고려한 치료는 매우 중요합니다. 특히, 치아의 색상, 형태, 주변 잇몸과의 조화를 고려한 치료가 필요합니다.

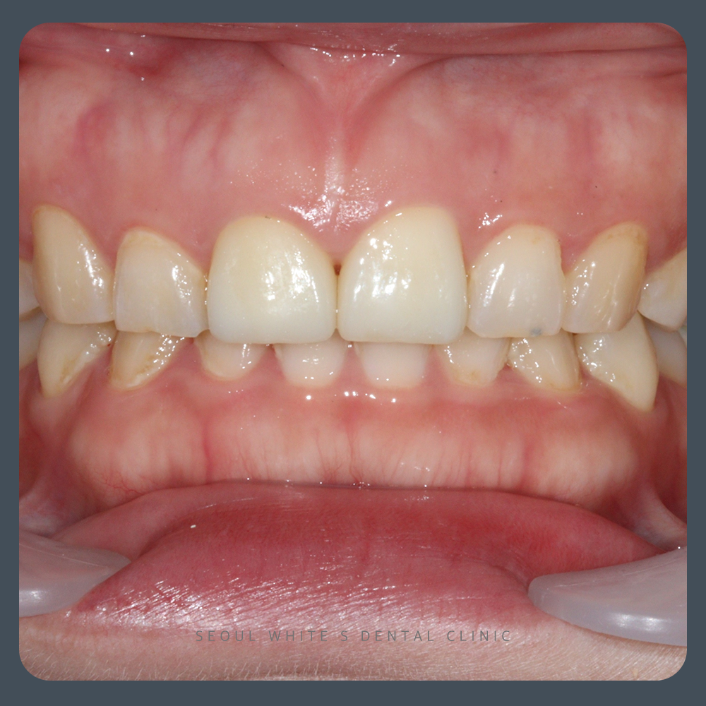
전치부 파절과 인접충치 치료 사례
이 환자분은 전치부에 충격을 받은 것으로 추정됩니다. 오른쪽 치아(#21)는 절단부에 파절이 있었고, 왼쪽 치아(#11)는 인접면에 충치가 발생했습니다. #21은 레진을 사용해 간단히 수복할 수 있었지만, #11은 이미 변색이 진행된 상태여서 근관치료 후 크라운 치료가 불가피했습니다.
전치부 크라운의 심미성
전치부 치료를 할 때 가장 중요한 점은 바로 심미성입니다. 구치부는 평소에 보이지 않기 때문에 PFM 등의 재료를 사용할 수 있지만, 전치부는 대화나 웃을 때 보이는 부분이므로 심미적인 측면을 고려해야 합니다. 금속이 섞인 재료는 전치부에서 이질감이 발생할 수 있어, 심미적인 측면에서는 지르코니아와 같은 치아 색에 가까운 재료가 적합합니다.
저희 서울화이트S치과에서는 환자분들께 심미적인 결과를 제공하기 위해 지르코니아 크라운을 주로 사용하고 있습니다. 지르코니아는 강도와 심미성 모두를 충족시킬 수 있는 훌륭한 재료입니다.

이번 치료에서도 #21의 파절 부분을 레진으로 복구하고, #11은 근관치료 후 지르코니아 크라운을 이용해 수복했습니다. 치료 후, 전혀 이질감 없이 주변 치아와 자연스럽게 어우러지며, 잇몸색과도 잘 맞는 결과를 얻을 수 있었습니다.
저희 서울화이트S치과는 환자분들의 미소를 아름답게 가꾸기 위해 항상 최선을 다하고 있습니다. 과잉진료 없이 정직한 진료를 통해 환자분들의 만족도를 높이고, 치료 후에도 세심한 관리로 지속적인 신뢰를 얻고 있습니다.

믿을 수 있는 진료, 부산영도구치과 서울화이트S치과
정밀한 치료가 필요한 부분에서는 환자분들이 만족할 수 있는 결과를 이끌어냅니다. 저희 부산영도치과 서울화이트S치과는 정밀하고 세밀한 진료를 통해 환자분들의 건강하고 아름다운 미소를 만들어 드리겠습니다. 언제든지 부산영도구치과 서울화이트S치과를 방문해 주세요. 여러분의 미소를 위해 최선을 다하겠습니다.
*모든 증례 사진은 의료법 제23조, 제 56조에 의거하여, 당사자의 동의하에 게시하였습니다.
*치료 사진은 모두 본원에서 치료한 환자분의 사진입니다.
*치료 사진은 모두 동일인의 사진이며, 동일조건에서 촬영하였습니다.
*개인의 차이에 따라 시술 및 수술 후 부작용이 발생할 수 있으며, 의료진과 충분한 상담을 받으시기 바랍니다.