남항동심미보철 치주수술을 통한 건강한 잇몸과 자연스러운 앞니 보철 제작!

치과치료 후, 치아를 씌우는 치료를 받으신 분들 많으실 텐데요. 보철물을 하고 나면 주기적인 검진이 필요하다는 사실 알고 계시나요?
많은 분들께서 치아의 머리 부분을 완전히 덮는 크라운(crown), 브릿지(bridge)와 같은 보철을 씌우면 영구적으로 사용할 수 있다고 생각하시는데요. 수명이 명확하게 정해져있지 않지 일반적으로 7-8년 정도 사용하시면 여러 가지 문제점이 생길 수 있으며 교체가 필요할 수 있습니다.
오랜 기간 관리 없이 사용하시면 발생하는 문제점 몇 가지를 간단히 설명드리겠습니다. 처음과 달리 잇몸 경계 부위가 넓어지고, 잘못된 잇솔질이나 올바르지 않은 교합과 저작으로 인해 치아 경계 부위가 노.출되거나 굴곡 파절이 발생할 수 있습니다.
굴곡 파절은 과도한 저작력으로 치질이 떨어져 나가는 것을 말하는데요. 치아의 경계 부위가 노.출되어 마모와 약해진 치질에 더욱 치명적인 영향을 줄 수 있으므로 늦지 않게 치료받으시길 바랍니다.
음식물이 잘 낄 수 있습니다. 오래 사용하게 되면 주변 치아와의 틈이 생기거나
잇몸의 변형으로 인해 음식물이 사이에 저류될 수 있어요. 음식물이 오래 머무르게 되면 치아우식뿐만 아니라 치석이 쌓이기 쉬우며 치주 질환을 동반할 수 있습니다.
그 밖에도 구.멍이 나거나 깨져서 심미적인 문제가 생기는 등의 다양한 문제점이 생길 수 있으니, 주기적인 정기검진과 나에게 맞는 섬세한 치료를 남항동심미보철 서울화이트S치과에서 받으시길 추천드립니다!
보철물과 잇몸 사이의
간격이 넓어져서 신경 쓰여요!
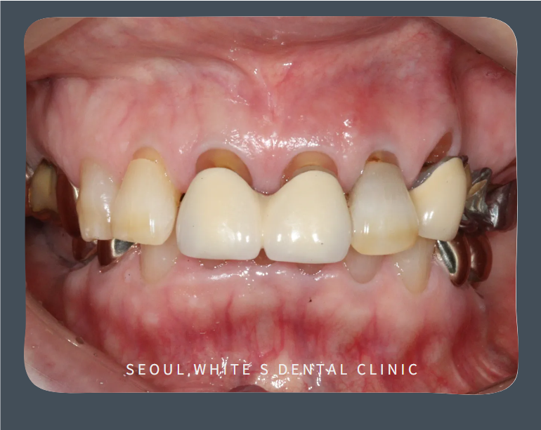
오래된 앞니 보철물과 잇몸의 경계 부위가 넓어져서 일상생활의 불편함을 느끼시고, 경계 부위의 깨진 치아가 걱정되어 내원하신 분의 치은성형술과 심미보철치료 사례를 소개해 드리겠습니다.

남항동심미보철 서울화이트S치과에 처음 내원하셨을 때 모습입니다. 오랜 기간 관리를 하지 못하셔서 치은의 경계 부위가 많이 노.출되었고, 굴곡 파절이 있는 곳도 있기 때문에 단순히 다시 잇몸라인에 맞춰서 제작하면 보기 좋지 않을 뿐만 아니라 예후도 좋지 않을 것으로 판단하였습니다.
또 하고 계신 보철물의 색상과 투명도가 주변 치아와 맞지 않은 모습이셔서 많이 신경 쓰이셨을 것으로 보였는데요. 서울화이트S치과는 잇몸의 형태를 생리적으로 재형성시키는 외과적인 시.술인 ‘치은성형술’로 건강하게 보이는 잇몸라인을 만들어드리고, 치질을 단단하게 보강하여 안정적이고 심미적인 보철물을 제작해 드리는 것으로 치료 계획을 수립하였습니다.

치은 성형술은 풍부한 경험이 필요한 고난도의 치주수술인데요. 남항동심미보철 서울화이트S치과는 내원하시는 분이 가급적 편안하게 외과적인 시.술을 받으실 수 있도록 일정을 조율하고 가급적 빠르게 치료 진행을 도와드렸습니다.

앞니이기 때문에 수술 후 일상생활에 있어 신경 쓰이는 부분을 덜어드리기 위해 ‘임시치아’를 제작해 드렸는데요. 임시치아도 매우 자연스럽게 제작되어 몹시 만.족하셨습니다.

잇몸의 충분한 회복을 확인하고, 최종 보철물이 제작된 모습입니다! 잇몸 경계 부위가 잘 맞게 제작된 것을 볼 수 있는데요. 환.자분과 충분히 의논하여 결정한 자연스러운 치아 색상과 형태로 마무리되었습니다. 어금니 부분까지 제작해 드리고, 치아에 무리가 가지 않도록 교합조정까지 세심하게 해드렸어요:)
안 좋은 치아가 많아서 걱정이 많으셨는데, 남항동심미보철 서울화이트S치과의 실력과 마음에 큰 신뢰를 가지게 되셨다고 해주셨습니다. 앞으로 오랫동안 건강하게 유지 및 관리하실 수 있도록 서울화이트S치과가 도와드리겠습니다.

남항동심미보철 서울화이트S치과는 눈에 보이는 심미적인 치료뿐만 아니라 건강한 잇몸과 치아의 기능을 생각하는 올바른 진료를 지향하고 있습니다. 보건복지부 인증 통합치의학과 전문의 대표원장이 직접 모든 과정을 상.담하고 진료합니다. 오랜 시간 구강관리를 못해 불편하시다면, 내원하시는 분의 일정을 우선으로 고려한 진료 프로세스로 편안하게 관리받으실 수 있도록 도와드리겠습니다. 감사합니다.
* 모든 증례 사진은 의료법 제23조, 제56조에 의거하여, 당사자의 동의하에 게시하였습니다.
*치료 사진은 모두 본원에서 치료한 환자분의 사진입니다.
* 치료 사진은 모두 본원에서 치료한 동일 환자의 사진입니다.
* 개인에 따라 시술 결과와 회복 속도는 다를 수 있으며, 의료진과 충분히 상담 후 결정하시기 바랍니다.
네이버지도 바로가기