영도치과 시리고 마모된치아 어떻게?

평소 잇솔질을 비롯한 구강관리를 잘 하신다는 환자분께서 ‘시리고 이가 패였어요.’ 라고 불편함을 호소하실 때가 있습니다. 이러한 환자분들께서 많이 보이는 질환이 ‘마모증’인데요. 특히 치아의 바깥면(협측, 입술측)의 잇몸과 치아와의 경계부위가 많이 패이는 ‘치경부 마모증’이 많이 나타나는데요. 초기에는 특별한 증상을 보이지 않지만 계속 진행될경우, 패임이 깊어지며 시리고 통증을 느끼고 심한경우에는 치아가 부러질 수도 있습니다.
영도치과 서울화이트S치과는 세심한 육안관찰과 임상 검진을 통해 치아의 외적 변화를 체크하고, x-ray를 비롯한 장비를 통해 치아 내부의 진행정도를 정확하게 확인하여 환자분의 빠른 증상완화와 회복을 도와드리고 있습니다. 오늘, 서울화이트S치과에서 ‘치경부 마모증’에 대한 설명과 일상에서 주의하셔야 하는 부분을 설명드리겠습니다.

‘치경부 마모증(cervical abrasion)’이란 치아 머리의 뿌리 방향 잇몸경계부위의 ‘치경부’라는 부분이 마모되어 치질의 결손이 발생하는 질환을 의미합니다.
이러한 치경부 마모증이 발생하는 원인을 말씀드릴께요!
✅ 잘못된 잇솔질 방법
잇솔질은 환자분의 구강 상태에 따라 차이가 있으나, 일반적으로 치질이 손실되지 않는 회전법으로 잇솔질 하시기를 권장드립니다. 만약, 좌우로 세게 밀면서 닦으면 치질이 마모되는데요. 이러한 방법은 치경부 마모증을 야기할 뿐만 아니라, 치아도 깨끗하게 닦이지 않게 됩니다. 따라서, 잇솔질은 올바른 방법으로 치아의 치태(plaque)를 제거하셔야 하며 잇솔질을 세게하는 것은 지양하시길 바랍니다.
✅ 이 악무는 습관, 이갈이
평소 자신도 모르게 치아를 꽉 무는 습관이 있거나 긴장이 되면 이를 세게 무는 분들과 취침 시 이갈이를 오래 하시는 분들에게서 ‘치경부 마모증’이 많이 발생합니다. 지속적으로 치아에 힘이 가해지면 치아에서 가장 얇은 부위인 치경부가 패이거나 깨지는 현상을 보이게 되는데요. 이러한 습관은 자신의 의지로 교정되기 어려운 부분이 있으므로 반드시 치과에서 이갈이 장치나 교합 조정등의 치료를 받으시길 바랍니다.
✅ 잦은 산성음식/ 음료 섭취
산성의 음식을 자주 섭취하시면 치질의 미세한 부식으로 인해 작은 힘에도 치아가 패이거나 치질이 떨어져 나갈 수 있습니다. 따라서 이러한 음식 섭취 후 물로 반드시 행궈주시기를 추천드려요.

그밖에도 부정교합이나 나이 듦에 따라 누적된 마모로 인해 치아에 마모가 생길 수 있습니다. 치경부 마모증은 마모된 정도에 따라 치료가 달라지는데요.
초기에는 잇솔질 방법을 변경하고 시린이 전용 치악을 사용을 말씀드리며, 치료보다 생활습관을 먼저 바꾸시는 것을 추천드립니다. 좀 더 깊게 진행된 경우에는 마모된 부분을 메우는 치료를 진행하는데요. 레진(resin), 글레스아이오노머(GI)와 같은 재료로 충전할 수 있어요.
만약, V형 마모가 깊고 시림과 통증이 심한 경우는 신경치료를 진행하거나 보철물(crwon)을 해야할 수 있으며, 파절되어 내원하시는 분도 계시므로 이러한 치경부 마모증의 증상이 보이신다면 빠르게 서울화이트S치과에서 진료를 받아보시길 바랍니다.
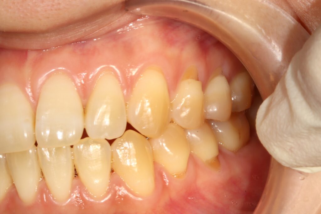
치아가 많이 패였어요!
가끔 시릴 때가 있어요
왼쪽 위아래 여러개의 치아에 ‘치경부 마모증’이 생긴 상태로 내원하셔서, 당일 레진으로 충전하는 치료로 불편함은 빨리 감소하고 자연스럽게 치료를 마무리 하신 분의 사례를 소개해드리겠습니다.

초진 25.07.18
처음 내원하셨을 당시의 구내 사진입니다. 왼쪽 송곳니부터 어금니까지 위아래 모두 치경부 마모증이 보였는데요. 특히 어금니 부위는 상당히 많이 마모된 모습이였으나 x-ray 확인 결과, 신경 노출은 되지 않은 상태였습니다.
영도치과 서울화이트S치과는 레진이라는 재료로 마모된 부위를 꼼꼼히, 자연스럽게 회복해드리는 치료계획을 세워드렸습니다.

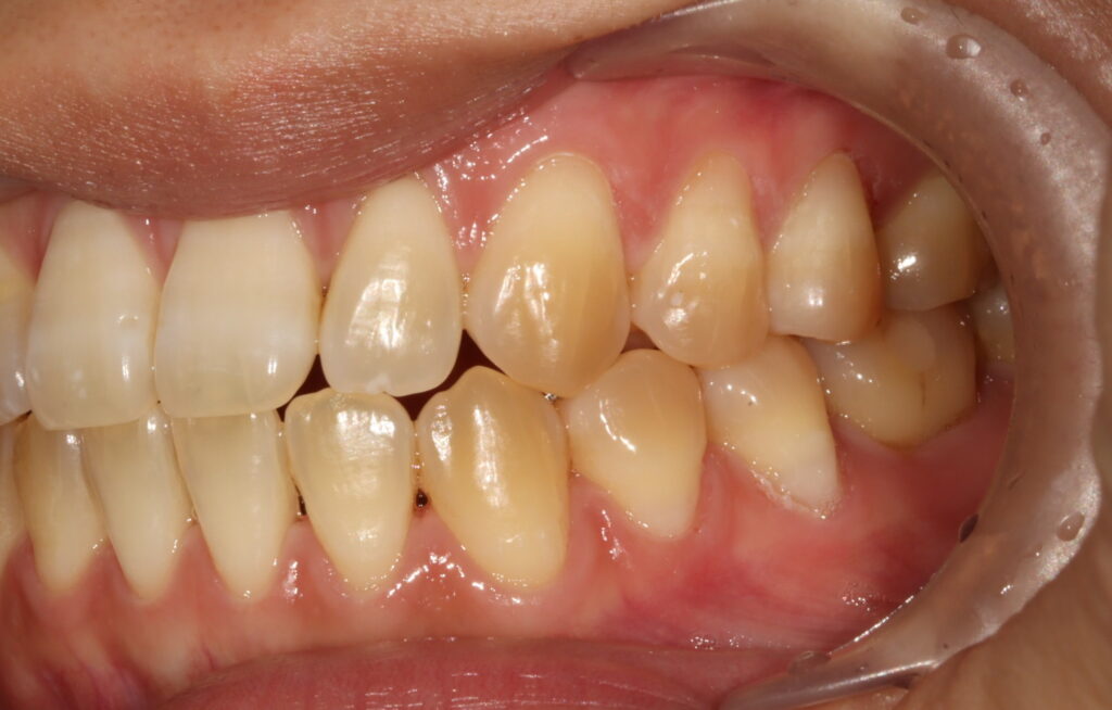
치료 종결 25.07.18
치아색에 맞는 레진으로 치경부 마모를 충전한 모습입니다. 내원하신 날 바로 진행하여 빠르게 불편함과 심미성을 회복하셔서 환자분께서 매우 만족해하셨어요:)
영도치과 서울 화이트S치과는 치료에만 중심을 두지 않고, 앞으로 이러한 마모 진행이 되지 않도록 환자분의 잇솔질 방법과 평소 생활습관을 직접 상담을 통해 확인하고 올바른 구강관리방법을 안내해드리며 정기적인검진으로 늦지않게 치료받으실 수 있도록 도와드렸습니다.

영도치과 서울화이트S치과는 환자분께서 호소하시는 증상을 파악하여 치료하고, 오래 유지하실 수 있도록 가정에서 관리하는 방법과 필요성을 충분히 설명드리며 모든 치료는 환자분과 치과의 관심과 관리로 이루어짐을 말씀드립니다
보건복지부인증 통합치의학과 전문의 대표원장님께서 환자분의 치아와 구강에 대한 깊은 관심과 공감, 끝까지 함께하는 관리를 약속드립니다. 감사합니다.
*모든 증례 사진은 의료법 제23조, 제 56조에 의거하여, 당사자의 동의하에 게시하였습니다.
*치료 사진은 모두 본원에서 치료한 환자분의 사진입니다.
*치료 사진은 모두 동일인의 사진이며, 동일조건에서 촬영하였습니다.
*개인의 차이에 따라 시술 및 수술 후 부작용이 발생할 수 있으며, 의료진과 충분한 상담을 받으시기 바랍니다.
네이버지도 바로가기
영도치과 영도치과 영도치과 영도치과