영도치과, 나를 위한 세심한 구강토탈케어!

자신의 치아상태가 좋지 않다고 생각하시는 분들께서 치과 방문을 망설이는 이유 중 하나는 ‘시간’ 입니다. 바쁜 일상을 사는 현대인들에게 여러번 치과를 가야하고, 길게는 몇 개월이상 소요되는 치료도 있기 때문에 길고 잦은 내원은 하기 어려운데요.
만약, 치료할 부위가 여러곳이고 장기적인 치료가 필요하다면 보다 철저한 구강내 상태를 분석하여 우선적으로 해야하는 치료부터 진행하는 것이 매우 중요합니다. 또한 환자분께 필요한 치료를 마무리 할 때까지 방문하시는 것도 중요한데요.
영도치과 서울화이트S치과는 환자분의 일정과 여러 상황을 모두 고려하여 반드시 치료하셔야 하는 부위를 끝까지 마무리 하실 수 있도록 세심한 배려와 조율을 진행해 드리고 있습니다. 오늘 서울 화이트S치과에서는 치과 방문 하실 때, 일정 조정과 기간에 대한 정보를 드리고자 치과에서 자주하는 치료의 기간들에 대하여 대략적으로 설명드리겠습니다.

✅ 치아우식증
초기 치아 우식의 경우는 우식부위만 제거하여 충전하는 레진(resin), GI 와 같은 치료를 진행하는 경우가 많은데요. 약 1-2회 정도 내원이 필요합니다. 단, 우식 치아의 갯수가 많을 경우는 몇 회 더 내원하셔야 할 수 있습니다.
우식의 범위가 커서 본을 떠서 충전해야 하는 인레이(inlay), 크라운(crown) 과 같은 치료는 남아있는 치질을 제거하고 치아를 단단하게 보강한 후 본을 떠야합니다. 또 최종 보철물을 제작하기까지 대략 1주일 더 소요되며, 보철물 부착 후에도 사용을 체크하여 완전히 부착해드리는 기간을 포함하면 대략 3-4회 내원이 필요하고 기간은 2주~1개월 정도 예상되지만 이 또한 치아와 보철물 상태에 따라 달라질 수 있어요.

✅ 신경치료
치아 우식이 신경까지 근접한 깊은 경우나 치아 뿌리 근처에 염증이 있으면 ‘신경치료(근관치료)’라는 하게 되는데요. 신경치료는 치아내부의 염증이 생긴 신경관의 신경을 제거하고 여러번 세척과 소독해야 마무리 됩니다. 매우 작은 치아 내부의 신경을 치료하는 술식은 매우 고난이도 섬세한 치료인데요. 따라서 신경의 염증상태와 신경관의 형태에 따라 기간은 상이합니다. 대략적으로는 짧게는 2~3주, 길게는 1개월 이상 소요될 수 있습니다

✅ 임플란트
임플란트는 치조골의 폭과 높이, 발치를 해야하는 치아의 상태 등에 따라서 치료기간이 달라집니다. 또한 임플란트를 식립 갯수가 많으면 여러회 나눠서 진행할 수 도 있기때문에 case 마다 다른데요. 대략적으로 보철물 완성까지 짧게는 3~4개월, 길게는 1년이상 소요될 수 있습니다.
그밖에 교정치료는 부분으로 진행하는지, 전체 교정을 하는지 따라 다르지만 대략 6개월~2년 정도 소요되며, 처음 내원 시 잇몸상태에 따라 스케일링과 잇몸치료를 진행하시면 기간은 좀 더 길어지실 수도 있습니다.
영도치과 서울화이트S치과는 환자분의 구강과 치아상태를 3D CT 및 첨단 장비를 통해 면밀하게 분석하고 육안으로 확인하여 최대한 환자분의 니즈를 반영한 치료를 진행함으로써, 모든 치료가 온전하게 마무리 되실 수 있도록 노력하고 있습니다.
흔들리는 치아가 여러개 있고
뿌리만 남은 치아도 있어요.
먼저, 흔들리는 것 부터 치료 받고 싶어요.
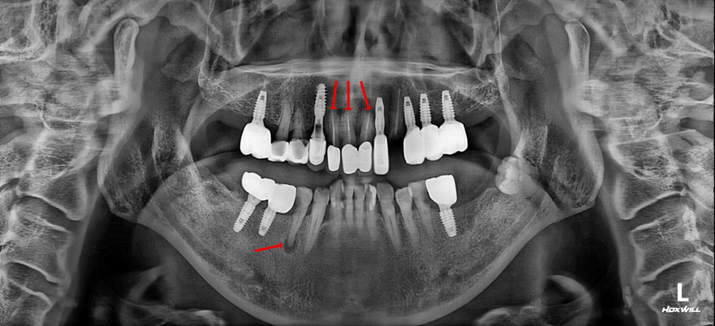
임플란트 식립과 신경치료를 받으시고 앞으로 저희 서울 화이트S 치과를 믿고 계속 치료를 이어가시겠다고 하시는 분의 사례를 소개해드리겠습니다. 위 앞니와 오른쪽 아래 작은어금니가 흔들렸으며, 이전에 신경치료 하신 치아는 부러진 상태로 내원하셨습니다.

25.10.10
처음 내원하셨을 때의 모습입니다. 화살표로 표시된 치아들이 흔들리고 있었으며 파절치아를 비롯해 장기적인 치료가 필요한 분이셨습니다.
영도치과 서울 화이트S치과는 우선적으로 환자분께서 호소하신 흔들리는 앞니는 살리기 어려워 임플란트 식립을 하고, 오른쪽 아래 작은 어금니는 신경치료와 보철물을 제작하여 살려서 사용하실 수 있도록 계획하였습니다.

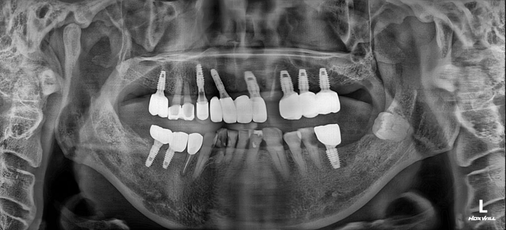
26.02.26
초기에 치료 목표로한 임플란트와 신경치료를 성공적으로 마무리한 모습입니다!
환자분께서 자신의 사정을 세심하게 배려하여 모든 일정과 치료를 진행한 서울 화이트S치과에 고마움을 말씀주시며, 앞으로 남은 치료도 믿고 진행하시겠다고 하셨습니다.

서울 화이트S치과는 바쁘신 환자분의 일정을 고려하여 부담없이 계속 내원하셔서 치료 받으시는 것이 중요하다고 생각합니다. 내원해주시는 환자분의 주치의라는 마음으로 충분히 소통하고 치료를 이어가실 수 있도록 최선을 다하겠습니다.
보건복지부 인증 통합치의학 전문의 대표원장님이 위임, 과잉 진료 없이 끝까지 책임있는 치료를 약속드립니다.
감사합니다.
영도치과 영도치과 영도치과 영도치과 영도치과 영도치과
네이버지도 바로가기
*모든 증례 사진은 의료법 제23조, 제 56조에 의거하여, 당사자의 동의하에 게시하였습니다.
*치료 사진은 모두 본원에서 치료한 환자분의 사진입니다.
*치료 사진은 모두 동일인의 사진이며, 동일조건에서 촬영하였습니다.
*개인의 차이에 따라 시술 및 수술 후 부작용이 발생할 수 있으며, 의료진과 충분한 상담을 받으시기 바랍니다.