
1

1
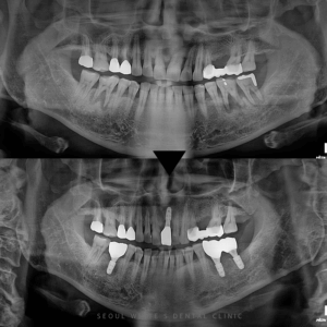
영도치과, 골이식을 통한 상악 임플란트 시술 사례
서울화이트S치과
2025-12-04
영도치과, 골이식을 통한 상악 임플란트 시술 사례 여러 치과 치료 가운데 많은 분들이 선택하는 시술이 바로 임플란트입니다. 그런데 상담 과정에서 “치조골이 충분하지 않아 식립이 어렵다”는 이야기를 들어본 분들도…
영도치과, 자연치와 조화를 이루는 임플란트 식립 사례
서울화이트S치과
2025-11-26
영도치과, 자연치와 조화를 이루는 임플란트 식립 사례 안녕하세요, 영도치과 서울화이트S치과입니다! 우리 치과에는 건강한 치아를 가지고 내원하시는 분들도 계시지만, 여러 치아에서 예후가 좋지 않은 징후가 나타나는 경우도 종종 있습니다.…
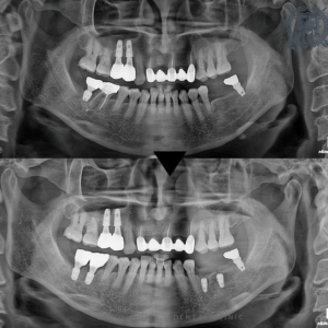
광복동임플란트, 유도골재생술을 통해 뼈이식 임플란트 사례
서울화이트S치과
2025-11-20
광복동임플란트, 유도골재생술을 통해 뼈이식 임플란트 사례 안녕하세요, 광복동임플란트 서울화이트S치과입니다 저희 치과를 방문해 주시는 환자분들 중 임플란트에 대해 궁금해하시는 분들이 많습니다. 그 중에서도 상악과 하악 임플란트 식립의 차이점에 대해 자주…
영도치과, 치료받은 곳이 다시 아파요! 재근관치료 사례
서울화이트S치과
2025-11-17
영도치과, 치료받은 곳이 다시 아파요! 재근관치료 사례 안녕하세요 영도치과 서울화이트S치과입니다. 치료를 받았던 치아가 시간이 지나 다시 아프기 시작하면, 당혹스러움과 함께 걱정도 커지기 마련입니다. 이미 신경치료를 한 치아에서 통증이 재발했다면,…
영도치과, 발치 후 즉시 임플란트 식립 사례
서울화이트S치과
2025-11-05
영도치과, 발치 후 즉시 임플란트 식립 사례 안녕하세요 영도치과 서울화이트S치과입니다. 저희 치과에는일과 병행하며 내원하시는 직장인 환자분들이 많습니다. 그만큼 진료 과정에서 불필요한 절차를 줄이고 꼭 필요한 부분만 집중하는 것이…
남포동임플란트, 왼쪽 아래 치아 브릿지 임플란트 식립 사례
서울화이트S치과
2025-10-22
남포동임플란트, 왼쪽 아래 치아 브릿지 임플란트 식립 사례 안녕하세요. 남포동임플란트 서울화이트S치과입니다. 임플란트는 자연 치아가 손상되었거나 빠졌을 때 이를 대체할 수 있는 좋은 방법으로, 많은 사람들이 선택하는…





