영도치과, 임플란트로 어금니 기능과 양측 균형을 맞춰요!

안녕하세요. 영도치과 서울화이트S치과 입니다.
치과내원이 늦으시는 이유 중에 “불편한 곳이 있지만 피해서 다른 쪽으로 식사해왔어요.”라고 말씀하시는 분이 많이 계십니다. 치아의 갯수가 많다고 생각하셔서 몇 개 안좋은 치아가 있어도 괜찮을 것이라고 생각하시는데요.
치아의 갯수는 성인은 28-32개, 영구치 전의 유치는 20개 이지만 치아는 각각의 위치에서 기능과 역할을 하기 때문에 어느 치아도 중요하지 않다고 할 수 없습니다.
특히, 어금니의 경우 음식을 저작하는 기능을 주로 하며 치아중에서 음식이 오래 머무르는 치아이기 때문에 치아우식, 치주질환 등의 질환 이환율도 높은 치아인데요. 영도치과, 서울 화이트S치과에서 어금니 상실로 편측저작을 오래 하게 된 경우 발생할 수 있는 문제를 몇가지 말씀드릴께요.

✅ 상실 반대측 치아의 과도한 사용으로 인한 구강질환
앞서 말씀 드린대로, 한 쪽으로 계속 저작과 사용을 반복하면 남아있는 치아에 무리가 갈 뿐만아니라 관리까지 소홀히 할 경우 치태와 치석이 많이 쌓여서 치아우식과 치주질환으로 심하면 흔들리거나 발치까지 해야할 경우 있습니다.
✅ 턱관절 문제
편측저작은 지속적으로 한방향으로 사용하기 때문에 턱관절에 무리가 많이 가고 이로 인해 입을 벌릴 때 소리가 나거나 통증을 느낄 수 있으며 어깨, 목, 두통까지 야기할 수 있습니다.
✅ 안면비대칭
우리의 신체는 많이 사용하는 부위의 근육이 발달하게 됩니다.

얼굴도 마찬가지로 한 쪽으로 많이 사용하면 그 방향의 턱 주변 근육이 발달하여 좌우안면 비대칭이 생길 수 있습니다. 오래 지속될 경우 심미성이 결여될 수 있으므로 평소 양측으로 식사를 하시는 것이 중요하며 불편한 치아가 있다면 늦지않게 치료를 진행하시기를 바랍니다.
영도치과, 서울 화이트S치과는 편측저작과 같이 당장의 큰 문제가 발생하지 않지만 지속될 경우 예후가 좋지않은 치아와 구강습관까지 꼼꼼하게 확인하여 치료받으시고, 관리하실 수 있도록 도와드리고 있습니다.
왼쪽으로 음식을 먹지 못하고 있어요.
요즘은 오른쪽도 불편함을 느끼는데…
치아가 없는 자리까지 함께 치료가 가능할까요?

이전에 치료받으신 좌측 위 작은어금니와 아래 큰어금니가 거의 빠질 정도로 흔들리고 치조골에서 빠져나온 상태로 내원하셔서 좌측 어금니 부위 임플란트와 우측 상실된 자리에 임플란트를 식립하여 균형있는 치열과 사용을 하실 수 있도록 서울 화이트S치과가 도움을 드린 분의 사례를 소개해드리겠습니다.

24.10.29
처음 내원하셨을 당시의 모습입니다.
좌측(사진 우측) 끝에 있는 치아들을 보시면 치조골에서 거의 나올 정도로 좋지 않은 상태였기 때문에 발치는 불가피하였습니다. 또한, 좌측 어금니를 거의다 상실하여 갯수도 부족하고, 우측 위 어금니와 아래 마지막 어금니도 상실한 상태로 임플란트로 겨우 식사를 하셨으리라 생각됩니다.
영도치과, 서울 화이트S치과는 좌측 어금니는 발치하고 어금니 갯수에 맞춰서 임플란트를 식립하고, 우측 치아 상실한 자리와 아래 최후방치아 자리에 임플란트를 식립하여 편안하게 양측저작을 하실 수 있도록 치아상실로 안면에 이상이 생기지 않도록 치료계획을 세워드렸습니다.

24.10.29 우측 식립/ 25.03.07 좌측 하악 식립/ 25.03.19 좌측 상악 식립
먼저, 우측 임플란트를 2개 식립하고 좌측 아래, 좌측 위 순서로 임플란트를 식립 후 치조골과 단단히 유착될 수 있도록 충분한 시간과 정기적인 확인을 진행하였습니다.
환자분의 걱정과 불편함을 고려하여 급하지않게 차근차근 시간적 여유를 가지고 진행해드렸는데요. 환자분께서 더욱 이러한 세심한 진료과정에 만족해하셨어요:)

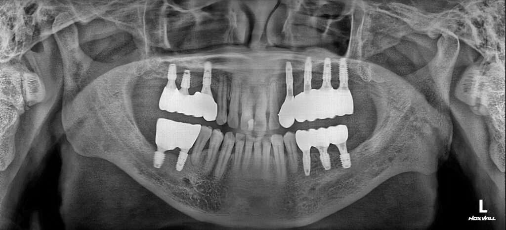
25.03.19
약 1년 4개월의 치료기간 후, 최종 보철물까지 완성된 모습입니다!
치조골의 상태를 확인하며 안정적으로 임플란트 식립이 진행된것을 볼 수 있습니다.

영도치과 서울 화이트S치과는 불편과 아픔을 호소하시는 치아만 보는 것이 아니라 32개의 치아가 각자의 기능과 문제 없는지 살피며 오래 건강하게 모든 치아를 사용하실 수 있도록 올바르고 좋은 치료를 제공해 드리기 위해 노력하고 있습니다.
보건복지부 인증 통합치의학 전문의 대표원장님께서 상담부터 치료 후 관리까지 책임있는 진료를 약속드립니다. 믿을 수 있는 치과와 의료진의 진료를 찾으신다면, 진심을 담은 소통으로 편안하게 진료받으실 수 있도록 도와드리겠습니다. 감사합니다.
*모든 증례 사진은 의료법 제23조, 제 56조에 의거하여, 당사자의 동의하에 게시하였습니다.
*치료 사진은 모두 본원에서 치료한 환자분의 사진입니다.
*치료 사진은 모두 동일인의 사진이며, 동일조건에서 촬영하였습니다.
*개인의 차이에 따라 시술 및 수술 후 부작용이 발생할 수 있으며, 의료진과 충분한 상담을 받으시기 바랍니다.