영도치과, 부러진 치아가 많다면 더 늦기전에 치료받아야 해요!

안녕하세요. 영도치과 서울화이트S치과입니다.
우리 치아는 계속된 저작활동으로 인한 미세한 금(crack)과 파절(깨짐)들이 있을 수 있고, 치아우식증으로 인해 치질이 삭아서 치아가 부러지거나 넘어지는 등의 외상으로 파절될 수 도 있습니다.
이렇듯, 수 많은 변수로 인해 치아는 일부 깨지거나 기능을 하지 못할 정도로 파절될 수 도 있는데요. 이러한 손상이 있지만 바쁜 일정과 비용, 두려움 또는 ‘아프지 않다’라는 이유 등으로 적절한 시기에 치료를 받지 못하고 나중에 더 많은 문제가 발생하여 내원하시는 경우가 있습니다. 영도치과 서울화이트S치과에서 파절된 치아를 방치하면 안되는 이유에 대하여 설명드리겠습니다.

1️⃣ 통증 & 신경 손상
처음에는 파절부위의 통증이 느껴지지 않을 수 있습니다. 그러나 그 부위로 점차 세균이 침투하게 되면서 치아내부의 신경까지 감염되면 치아를 살리는 신경치료가 어려워 질 수 있고, 찬것, 뜨거운 것, 단 맛에 통증이 올 수 있으며 가만히 있어도 아플 수 있어요.
2️⃣ 파절범위 확대
앞서 말씀드렸듯이, 처음에는 작은 금이거나 파절이지만 치아로 음식을 자르고 저작하면서 점점 크게 갈라지거나 깊게 진행되어 치아가 쪼개질 수 있습니다. 이로인해 보철치료를 임시적으로 시도하거나 발치까지 진행해야 할 수 있어요.
3️⃣ 교합 및 주변 치아 힘 가중
파절된 치아가 제 기능을 하기 어려워지면 주변 치아에 저작하는 힘이 가중되게 되고, 오래 지속되면 교합에도 영향을 미칠 수 있습니다.

그밖에 치아 뿌리끝까지 염증이 진행되는 ‘치근단 농양’이 발생할 수 있으며 전반적인 치료의 비용과 시간이 늘어날 수 있으므로 환자분께서 잘 보이지 않는 파절은 주기적인 치과 검진으로 확인하시고, 파절을 알고 계시다면 빨리 치과로 내원하셔서 치료 받으시길 바랍니다.
영도치과 서울화이트S치과는 면밀한 육안 관찰과 최신 장비로 파절이 눈에 잘 띄지 않는 부위들까지 세심하게 검진하고, 시기에 가장 적합한 치료로 빠르게 구강기능을 회복하실 수 있도록 도와드리고 있습니다.

깨진 치아들이 많고, 전체적으로 안 좋아요.
어떻게 치료 받을 수 있을까요?
이미 상실한 치아와 파절되어 뿌리만 남은 치아로 전반적인 구강 상태가 좋지 못하여 제대로 식사와 일상생활에 불편함을 치조골의 상태에 맞는 임플란트 식립으로 서울화이트S치과에서 진행하고 계신 분의 사례를 소개해드리겠습니다.

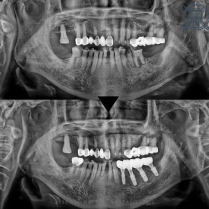
25.06.07
처음 내원하셨을 당시의 파노라마 방사선 촬영한 모습입니다. 치아상실과 뿌리만 남은 치아들, 치아우식, 치주질환으로 전반적으로 좋지못한 상태였습니다.
뿌리만 남은 치아의 상태가 매우 좋지 않아서 다시 살려서 사용하시기 어려운 상태였습니다. 영도치과 서울화이트S치과는 차근차근 아래 치아들 부터 진행하는 것으로 계획하고, 파절치는 발치 후 임플란트를 식립, 상실한 치아가 있던 자리도 임플란트를 식립하고 신경치료와 보존치료로 살릴 수 있는 치아는 살려사 사용하실 수 있도록 게획을 세워드렸습니다.

26.02.02
아래 임플란트와 신경치료, 보존치료가 마무리된 모습입니다. 환자분의 경우, 치료가 필요한 치아가 많았지만 아래를 먼저 마무리 한 상태에도 너무 편안하게 식사를 하시게 되었고, 통증이 사라져서 일상이 많이 편안해지셨다고 하셨어요!
단, 아직 상악 치아들 치료가 남아있으며 환자분께서 아직 구강관리가 어려우셔서 부러진 치아들도 발생하여 서울화이트S치과는 모든 치료가 온전히 마무리 될 때까지 책임지고 진행해 드릴 것을 약속드렸습니다.

영도치과 서울화이트S치과는 보건북지부 인증 통합치의학과 전문의 대표원장님께서 환자분께서 무심코 모르실 수 있는 구강의 문제점들과 이로인해 더 큰 질환이 유발되지 않도록 자세하게 설명드리고 중간에 치료를 그만두시는 일 없이 꾸준히 관리하실 수 있도록 최선을 다해 노력하고 있습니다.
실력을 바탕으로 신뢰할 수 있는, 나와 깊은 소통과 공감을 하는 치과에서 진료를 받으시고 싶으시다면 저희가 편안하게 케어받으실 수 있도록 도와드리겠습니다. 감사합니다.
영도치과 영도치과 영도치과 영도치과
네이버지도 바로가기
*모든 증례 사진은 의료법 제23조, 제 56조에 의거하여, 당사자의 동의하에 게시하였습니다.
*치료 사진은 모두 본원에서 치료한 환자분의 사진입니다.
*치료 사진은 모두 동일인의 사진이며, 동일조건에서 촬영하였습니다.
*개인의 차이에 따라 시술 및 수술 후 부작용이 발생할 수 있으며, 의료진과 충분한 상담을 받으시기 바랍니다.